李全贞1 李平2 加波瑞艾娜•加西亚2 理查德•强森2 封莉莉2
1: DNA微排列中心,免疫学中心,西南德克萨斯大学医疗中心
达拉斯,德克萨斯州75390
2: 贝勒医学院,医学系
休斯顿,德克萨斯州77030
摘要
在基因水平上,人类和其它物种有着令人不可思议的相似性,这促使我们另辟蹊径去寻找与人的特性有关的,在基因调控中起重要作用的因素。越来越明显的安慰剂效应说明人的思想(精神)能显著影响其对于健康、疾病、和医药的反应。精神修炼和信仰在个体对于健康问题和疾病的反应中起着重要的作用,并将影响到个体的生活和幸福。因此,我们对一群進行精神修炼的人,在基因水平上研究了他们的基因表达状况。和正常健康人相比,我们发现法轮功学员的嗜中性白血球的功能以及基因表达有着非常显著的变化。这些变化表现为:吞噬和杀伤细菌的功能增强,和免疫力有关的基因表达增加,细胞死亡基因被双向调控从而使得正常细胞存活期延长的同时又加速受刺激的细胞凋零死亡以便炎症迅速消除,以及细胞新陈代谢的下降等等。细胞新陈代谢的下降表现在泛素依赖性的蛋白质降解系统的相继下调控,这种下调控可能是和细胞内的代谢产物减少相关,而非直接调控。细胞死亡的双向调控可能是阴阳调和的表现,因为炎症状态下的细胞死亡加速可能使机体在免疫力增强时没有副作用-宿主的自伤。我们这里提供了第一手证据,来证明精神修炼可能通过精神层面上对基因组的调节来改变免疫力、细胞死亡和新陈代谢率等等。这些发现说明了人的精神对机体的至关重要的调节作用,意味着我们急需建立更多的模型来研究意识、认知、和精神等人类特有的特性和行为等因素对基因调控的影响。
有多种因子在人类健康中起着重要作用。这些因子可能在心理上起作用从而影响免疫和神经内分泌系统[1,2]。2000年6月27、28日,在美国国立健康研究所(NIH)的Natcher会议中心召开了由该所主办的题为“朝向高层分析”的研讨会。会议的主题就是如何加强研究社会和文化对健康的影响。为使大家更好地认识到在健康调研中社会、行为和生物层面上分析研究的相互依赖性,会议强调了社会文化因素对健康和疾病的影响。会上,社会学家提出了作为单元分析的社会和文化体系,认为应该在包括宗教和精神活动等社会和人际关系如何影响健康这一方向上,進行更为广泛的研究 [3]。长期以来,人们一直在猜测人的思想会显著调控人体。不过,人的思想如何在分子和细胞水平上具体地调控基因表达,仍是我们需要研究的课题。
人类健康的关键因素─人性:都在于精神意识中
科学家在25年前报导说,不同物种间的差异可能只是源于基因表达数量的差异,而非基因的一级结构不同[4]。所有哺乳动物的基因库是如此的相似以至于很难理解为何相似的基因物质会产生如此众多的不同生物[5]。黑猩猩和人类就具有98.7%的相同基因物质,当然在形态和认知能力上,二者具有极为显著的差异 [6]。Enand等人推测基因表达方式的差异性可能造成了物种之间的差异。他们发现大猩猩和人只在脑部的某些基因转录方式上有差异,且人脑的某些基因活性增强[6]。有些科学家认为应该用一个“转(人类特异性)基因小鼠模型”来進一步研究是否某些人类特异性基因能把小鼠变得更象人。当然,也有的科学家觉得这样的“魔术”基因根本就不存在。
那么超越一维基因库以外的“魔术”因素是什么呢?如果不同动物的基因如此类似,也许人与其他物种的差异性在于人的基因受高级思维调控的变化造成的,而这种变化发生的时间,部位,和强度可能会起着决定性的作用。人和大猩猩的大脑在基因活性上的差异说明了人类的特异性可能由人类特有的精神活动主宰,基因库的一级结构不可能是唯一的因素。人类和其它生物的在疾病和健康上的巨大差异暗示我们肯定还有其它因素。对于物理和病理原因造成的基因调控,我们已有了相当多的了解,但是精神如何调控基因表达,哪些基因能受思想活动的影响,它们又是如何去進一不调控那些受物理和病理刺激调控的基因,对于这些问题我们却是知之甚少。
“安慰剂/反安慰剂”效应的启示
“安慰剂(Placebo, 源于拉丁文“我会高兴”)效应”是指病人在使用无药性片剂(如糖片)后产生的良好感觉。这种现象在医学界随处可见,以致很少有医生对其提出挑战[7-11]。而“反安慰剂(Nocebo,源于拉丁文“我会受伤”)效应”恰恰相反,它让我们看到消极的想法会对“被试”产生不良影响 [12-15]。“安慰剂效应和反安慰剂效应”说明,病人的思想(精神)在其对于疾病和药物治疗的反应中会扮演重要的角色。
虽然很少有人对安慰剂效应提出异议[16],最近Petrovic等人明确提出,不管是安慰剂还是止痛片都能在大脑富有“鸦片感受体”的同一区域加强血液流动[17]。在随后的一个帕金森氏综合症的临床病例和大多数抗抑郁剂试验中,发现安慰剂不仅缓解了病状还改变了大脑的化学反应[18-20]。科研人员发现,与20年前相比,更多的病人在使用安慰剂后病情有好转。这说明现代生活的紧张和环境的压力可能引起了更多的与心理有关的疾病。Torrey和 Miller博士在他们的著作《看不见的瘟疫:从1750年至今精神病的增长》中总结到,“近几十年来,至少在一些工业国家,确凿的证据表明由沮丧和情绪低落引起的人类疾病有蔓延的趋势,甚至是最严重的精神紊乱--精神分裂症”[21]。在一项针对2001年9月11日之后心理压力反应的调查中, “9/11后效应”進一步证实了这样一种趋势:即使远离出事地点的人也表现有实质上的精神压力症状[22]。住在“双塔”附近的应答者中,有20%的人表现出“重大创伤后遗症”(或称:创伤后应激障碍,PTSD)23。在另一项针对988名曼哈顿居民的研究中发现,抽烟、喝酒和吸大麻的量都有显著增加,而这可能与不同的心理状况有关[24]。据教育局的研究表明,在一项针对110万公立学校学生的调查中,约有75,000名儿童表现出六种以上的PTSD症状,而这足以被诊断为精神紊乱[25,26]。
很明显,安慰剂的治病效果是由于人的期望和信念能影响生理反应[27]。另外,安慰剂效应近年的增加也说明了现代社会人类的综合疾病和心理压力的增加可能与人类特有的心理因素有关。这就是说人类的疾病不仅仅源于简单的病理、生理、物理刺激以及基因缺陷。因此,目前以动物模型为基础的针对靶基因的研究就完全不应该成为研究人类特有疾病的病源学、病理学和心理学的唯一基础。
在基因水平上测定与健康表型有关的基因表达状况
所有的生物天然就应该有一个完整的,自我调控的健康的生活。不良的健康状况不是一种自然状态。一般说来,生物从本质上是不该生病的,如同呼吸、消化、分泌和生殖作用,生物体内就具备组织的自愈过程。健康是一种自然状态,因为它是和谐的、平衡的。所以,确定在健康的人群中基因如何受心理和精神的调控非常重要,因为那些生物体系可能具有更高维的信息,从而保持健康和抗疾病能力增强。
基因表达的调控是生物学现象的一个重要方面。在对环境条件的反应,多细胞组织的发展,形态的变化,和病理的改变等方面虽然都有广泛的研究,如何确定基因的病理学变化仍对研究人员是一个巨大的挑战。在“疾病”的基础上来确定发病有关的基因变化可能有不少问题,因为一些有利于机体的上调控或下调控可能被认为是有害的,反之亦然。动物模型是一个很好的研究系统。然而,与人性有关的复杂因素却完全不能用动物来研究,因为人的认知、行为、和思维永远不可能有动物模型,其中也包括对最高级的灵长类动物黑猩猩的研究。此外,目前尚无对于人的心理和精神特质的科学测量单位。
最常见的疾病反而最难研究。心脏病、癌症、糖尿病和精神病等等,所有这些都被认为是“复杂的”和“多因素”疾病,因为它们不是由单个基因的变异和单一外界条件所造成的。“候选基因逼近法”也受到批评,因为很多实验结果没有重复性,并且它无法包涵所有的成因基因和基因的多态现象[28]。那些综合疾病实际上产生于很多基因的联合作用,以及环境因素及冒险行为等[29-32]。在近期《科学》杂志上,有多篇文章阐述了科研人员在研究综合疾病时遇到的困难[29,33-35]。要想确定特定的基因导致了综合疾病,就象大海捞针一样难。因为即便能找到,这些基因往往只对这些复杂性疾病的形成起微小的作用。同时,这些作用的大小又受不相关基因和环境因素,以及人的思想(精神)的影响。经常是在一个试验人群中确定的综合疾病的易感基因座在别的人群中无法重复。越来越多的研究发现,对于那些综合疾病,超过70%的中风、直肠癌、冠心病和第二型(成人型)糖尿病都可以通过改变生活方式而得到预防。这说明自我调控在预防此类综合疾病中起着重要的作用[30,33]。看来,预防仍是最好的治疗[36],因此我们亟需研究为什么有些人能保持健康,以及他们如何具有对疾病的抵抗力[37,38]。
人们对于身心紧密相关这一现象越来越感兴趣。而早先,这一课题正是由于它的复杂性而被系统的科学研究排斥在外。身心医学(MIND/BODY MEDICINE) 是建立在过去25年中2000多篇发表在由专家审定的杂志上的科学研究的基础上[27]。哈佛医学院的HERBERT BENSON,这位“身心医学”的先驱在这一领域中作出了巨大的贡献。多年来积累下来的丰富证据表明(心灵)修炼所获得的显著的生理效应直接与思想及灵性有关。这类修炼包括宗教和非宗教修炼。在西方社会,宗教修炼占主导地位,而东方文化则强调通过身体和精神的训练来激活能量体系,比如瑜伽、气功、太极以及最近出现的法轮功(FLG),又称法轮大法[39-44]。正当瑜伽、打坐或祈祷的健身效果越来越多地被证实并逐渐被公众所接受的时候。这些显著效果在生理水平上的机理并未被人们广泛认识,更不用说在细胞或分子水平上去证实和系统的研究。另一方面,生物研究技术的一些重大進步使我们可以对单个细胞内许多具体的变化進行快速和精确的检测。这些科学技术的進展有利于研究这些修炼引起的身体在细胞或分子水平上变化。根据1999年初中国政府的一份调查,在中国大陆有7千万到1亿人炼法轮功。在所有旨在增進健康的不同方法中,法轮功在中国人中普及最快,影响力最大。1998年,在北京、武汉、大连地区和广东省,由当地的医疗机构進行了五项独立的健康调查。采样人群超过35,000人,是迄今对法轮功修炼者最系统和全面的健康调查(https://www.pureinsight.org/sci/sci/eng/newscontent.asp?ID=14248)。为了探寻修炼人健康受益的分子机理,我们在基因水平上研究了法轮功修炼者嗜中性白血球的基因表达,主要的发现总结如下。
阴阳平衡基础上的免疫调控
有证据表明心灵修炼和身心锻炼方法能增進免疫系统的效力進而在临床治疗各种疾病中很有效 [45-47]。紧张和不良情绪会造成免疫紊乱,从而导致感染的加剧[2]。因此最好的防止传染病流行的方法就是增加人群中具有天然抵抗力从而具有完全免疫力的人数。健康人具备天然免疫力不仅能使其具有完全免疫力,而且能减少人群中传染病的流行。
最近,我们用DNA微排列技术比较了修炼人(n=4) 和非修炼 (n=4) 的健康人嗜中性白细胞的基因表达状况,我们发现修炼人的嗜中性白细胞的基因表达的超常变化,此外还有明显的功能上的变化。我们使用Affymnetrix 的载有12,000个探针的基因芯片发现了有众多的基因在表达水平上有相当大的改变。其中有两倍以上变化,并在所有修炼人的白细胞中都有变化的基因有 485个。235个基因的变化在6个修炼人呈不一致变化(有的上升有的下降,可能与个人修炼状况有关)。有意思的是,其他250个基因呈同向变化,132个基因上调控,另外118个基因呈下调控。上升的基因多和免疫功 能有关(图1),如抗微生物的小分子肽-防御素(Defensin-3, L12691)增加了6.7 倍 (图3),干扰素及干扰素相关的、和受干扰素诱导的基因都明显增加,而干扰素的抑制因子,Sarcolectin 却明显下降[48](图2)。很明显,调控趋势是干扰素的功能增强。抗微生物的小分子在生物防御系统中起着非常重要的作用,哺乳动物的防御素是属于体内表达量最高的广谱抗菌素,在嗜中性白细胞中尤其高[49]。防御素-3(A型防御素)是一种带负电荷的小分子肽, 起着一种非氧化物性杀伤微生物的作用。A型防御素通过裂解细菌的细胞膜起到一种先天免疫的作用[50,51]。最近,A型防御素被认为是最重要的抗爱滋病毒的小分子(脚注)。干扰素-gamma,也是一种非常重要的抗病毒等微生物的细胞因子[52]。干扰素可通过诱导其他因子来调控免疫反应[53]。对转基因小鼠和基因缺失小鼠的研究更進一步肯定了干扰素-gamma在免疫方面的作用[54,55]。这些基因的增高和功能方面的改变是相吻合的,嗜中性白细胞对细菌的吞噬和杀伤能力明显增强 (图4)。此外,I-309也明显 增加(图3)。 I-309 属于趋化细胞因子,它的受体是爱滋病毒的辅助受体[56,57],因此,I-309 可能起着抗爱滋病毒感染的作用。I-309在修炼者体内普遍升高可能是修炼者对爱滋病毒有抵抗力的重要原因之一(根据一项未发表的文章)。当然,防御素的增加可能是抗爱滋病毒感染的另外一个因素(脚注)。




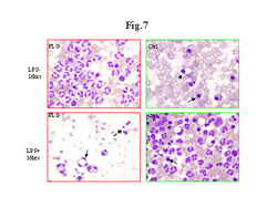
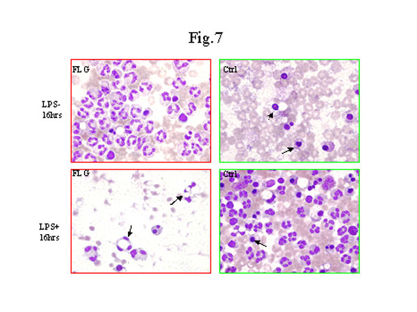
然而,免疫反应就象一柄双刃剑。当它持续反应时,过度的免疫系统的激活就可能对主体有害[58]。那么修炼人的免疫系统是如何解决这一难题的呢?我们发现了另一种超常的调控,BCl-2和BCl-XL,这些调控细胞死亡的基因表现为显著地下调控(图5)。 BCl-2和BCl-XL属于BCl-2家族的抗细胞死亡成员[59,60]。这些抗细胞死亡基因的减少可能使修炼人的嗜中性白血球在受聚酯糖(lipopolysaccharide, LPS) 时加速死亡(图6a和图7)。LPS是一种炎症促進剂,能够刺激细胞来表达细胞各种各样的炎症因子[60]。很多慢性炎症损伤与受刺激的嗜中性白血球的死亡延迟有关[61]。而诱导细胞死亡却有利于控制炎症 [62]。 另外,细胞死亡诱发的基因显著地却反向上调控,其中包括肿瘤坏死因子受体-1 相关蛋白(TNF-receptor-1 associatedprotein), BH3 相互作用基团死亡促進因子(BH3 interacting domain death agonist), 白细胞介素-1 转换酶(Interleukin-1 convertase), 和白细胞介素-1转换酶2 ( Interleukine-1-converting enzyme2)。这些促進细胞死亡的因子的增加可能是修炼人受刺激的细胞加速死亡的另一个因素(图5)。


细胞死亡有关基因的改变可能导致了炼功人嗜中性白细胞中表现的LPS刺激死亡的加速(图7)。嗜中性白细胞的加速死亡能引起炎症的迅速消失,从而限制了由于免疫系统的增强而引起的自我损伤[63-65]。如图6和图7所示,在没有LPS刺激的情况下,炼功人嗜中性白细胞的存活有显著的延长,而这种细胞寿命的延长也可能与炼功所导致的新陈代谢水平下降有关。在非炎症的状况下,决定嗜中性白细胞在非炎症情况下自发性死亡的因素是氧化自由基,而不是致死基因 [66,67]。我们的数据显示法轮功及其它打坐修炼者的嗜中性白细胞受活性氧化剂的干预下降。有其他研究也说明血脂过氧化程度的下降可能跟打坐入定引起的紧张状态降低密切相关[68]。

免疫耐受和免疫激活是对立而又相互依赖的。免疫耐受可以保护宿主不被自我损伤,而免疫监视/激活则是消灭受损和变异的细胞并保护机体不被变异的细胞影响和病原体侵入。不过,阴中还必须有阳,因为只有免疫耐受而没有免疫激活能导致机体易患癌症和感染性疾病;反之,阳中也必须有阴,因为没有自我限制的免疫激活会导致严重的自我损伤。
法轮功修炼者的嗜中性白细胞表现出致炎基因(抗凋零死亡基因)的减少和炎症倾向得以限制(阴),同时免疫细胞的免疫力增强(阳)是为阳中有阴。与免疫力增强有关的改变代表了阴中阳的部分在细胞处于低活性时(低代谢)保护机体免于微生物侵犯。修炼者的嗜中性白细胞是低代谢低致炎的,却具有免疫力增强的分子,是为阴中有阳。由于缺乏抗凋零死亡基因,激活的炎症细胞会被快速排除,由免疫力上调节导致的不利因素因而被抵消。
中医认为,阴阳调和为健康之本。阴阳调和这一简单却极为重要的法则在健康、医学和大自然中到处都能体现出来。阴阳理论也可用来解释现代免疫学的概念,如免疫耐受性和免疫活性。免疫耐受(阴)和激活(阳)的平衡是一个生死攸关的问题。免疫耐受和激活是对立而又相互依赖(相生相克)。免疫系统活性过低的话,会使免疫监督不能正常進行,从而造成突变和炎症细胞不能及时排除,这将导致癌症和慢性炎症等。但免疫监督/激活(阳)又不能过强,因为那会造成对自身的伤害,所以就需要自我限制对其的制约。比如,炎症细胞必须用细胞死亡的调控来清除,从而消除和停止炎症反应(阳中有阴)。免疫耐受在使生命保持和谐性方面非常重要,但仅仅耐受而没有免疫监督/激活化会导致感染,癌症,或自身免疫疾病,这是阴阳相互作用的典型表现。因此,阳中必须有阴。由身心相互作用引起的调控是一种阴阳调和的平衡,从而使得免疫系统的“双刃剑”的特性得到纠正,也就是说免疫力可以上升而不会有反作用。在精神层面上修炼的人,他们嗜中性白细胞中致死基因的改变支持了这种假说。气功练习者嗜中性白细胞中抗细胞死亡基因的下调控促成了炎症细胞的迅速清除,而健康嗜中性白细胞的存活期的延长,则可能是由于打坐入定引起的细胞代谢水平下降从而使氧化自由基的减少所致,这种双向调控有效地保持了免疫的阴阳平衡。打坐入定所造成的代谢水平下降(见下文)而使机体处于一种低反应状态(阴),免疫活性就会增强(阳),干扰素和防御素增加及吞噬功能增强)从而来平衡保护这种低反应状态。这种双向调控的现象将会为我们治疗方针另辟蹊径,如果免疫反应能够下调而又不影响整体免疫力,就能对移植排斥,自身免疫疾病和过敏等的治疗有极大的帮助[69]。反之,如果基于阴阳调和基础上的免疫调控可能会是治疗多种免疫疾病的又一种选择。
新陈代谢率的降低和细胞“垃圾箱”的减少
细胞的新陈代谢高低决定了蛋白质合成和降解的速率。然而,蛋白质合成和降解的经济性长期以来一直被人忽视,直到重新理解泛素依赖性的蛋白质降解系统 (Ubiquitin-dependent protein degradation pathway, UPP)[70]。在真核细胞中损坏的,异化的,和老化的蛋白质的主要处理系统是UPP[71]。在正常人的细胞中,大量新合成的不正常的蛋白质都会通过 UPP来降解,这可能是因为正常人细胞的新陈代谢率也增高所致。例如,一个细胞每分钟能合成2E6个核糖体蛋白质的拷贝,其中约有超过30%新合成的蛋白质立即就被UPP销毁了。在病理条件下,被送入UPP降解的蛋白质会显著增加,大量的人类疾病可能和UPP都有关系[71-74]。
UPP 可以通过修饰细胞内各种各样的蛋白质,参与很多重要的,基本的细胞活动。这其中包括细胞周期,分裂,分化,和发生发育的调控,细胞对刺激和外界因子的反应的调控,神经系统的形态发生,细胞表面的受体和离子通道的下调控,蛋白质分泌的定量调控,DNA修复,免疫和炎症反应的调控,以及细胞器的生成等等。已确定的要通过UPP的细胞蛋白质有几百之多,而且这个名单还在稳步增长。蛋白质基质的多样性和结构的复杂性,使得这一系统和许多重要疾病的发病机理联系起来,包括基因疾病、神经细胞退行性疾病、癌症、肌萎缩、高血压、白血病、自身免疫疾病、炎症、老年性失调。最近,有初步试验结果表明, UPP的蛋白酶的抑制剂可能对癌症有治疗作用[75,76]。很多情况下,与UPP有关的疾病都是因为过高的新陈代谢率。它就象一个分子传感器,其活性会随着外界和内在的应力增加而变化。因为这个体系就象垃圾处理站,总是把反常的和破损的细胞拖進来分解掉,我们把它比喻成一个细胞中的黑洞。



UPP 的主要成份是泛素,UPP系统有三类主要的酶:E1(ubiquitin activating enzyme, 泛素激活酶),E2(ubiquitin conjugating enzyme, 泛素交联酶)和E3(ubiquitin ligase, 泛素连接酶)70。RING(Really Interesting New Gene, 诱人的新基因)RING-finger蛋白质是一组近来才明确其特殊功能的蛋白质[77]。越来越多的研究表明在特定的泛素反应中RING-finger 蛋白质起着主导作用,而且可能所有的RING-finger蛋白质都是E3型泛素-蛋白联结酶[78,79]。我们发现大法修炼者身上分离出的嗜中性白细胞,其泛素、E2和E3的基因表达量有明显的下调控趋势(图9)。在所有我们确认的RING-finger蛋白质中,只有属于RBCC家族的含TRIM 的RING 蛋白质是上调控的[80]。相当有意思的是,有7个泛素E3基因同时下调(图9)。此外,一种与UPP无关的蛋白质降解酶,ornithine decarboxylase antizyme [81],也有显著减少(图10)。UPP系统的下调可能是因新陈代谢率的下降而非打坐入定的直接效应。据报导,泛素是一个紧张或热休克调控的基因[82,83]。不过,目前没有文献报道UPP系统中其它的成分也能随紧张或热休克调控。以下描述的其它与紧张刺激有关的基因的变化也说明UPP体系的下调控可能是个非直接过程。
其它下调控的基因包括,参与蛋白质合成的基因,DNA修补的抗氧化酶。主要的抗氧化酶,过氧化氢酶和谷胱甘肽过氧化氢酶,也减少了(图10)。这些与紧张刺激相关的关键酶的减少,以及其它受紧张刺激调控的基因下降,意味着氧化物的生成和大分子的破坏减少,这些基因包括酵母基因在哺乳动物体内的同源基因RAD52(抗辐射)和ERCCs(切除修补)。核糖体是蛋白质合成中重要的成分,而11个核糖体基因中10个下降说明蛋白质合成也可能下降(图11)。令人意想不到的是,两个热休克蛋白质,HSP70和HSP40-3,却显著上升, 这与其它对紧张刺激有关的基因的下降恰恰相反(图10)。 这些紧张刺激调控基因反向调控的分子机理还需要進一步确定。但对于类似这些热休克基因,研究是否可以通过上调控来起到保护作用是应该很有意思的。有证据表明这些热休克蛋白可能对心脏确有保护作用[84]。
这一项用DNA微排列技术研究在基因的水平上研究基因表达状况说明,炼功人细胞的代谢率有下降趋势。UPP系统的下调可以用两种理由解释,1)底物依赖性的下调,因为代谢率的下降引起代谢产物的减少导致了废物处理UPP过程的下调,2)打坐入定引发的细胞活动某种程度上直接导致了UPP基因表达的UPP系统的某些分子转录水平下降。对于UPP系统的下调可能与修炼人的健康表型有关这一问题,目前还没有文献报导予以支持,但某些在啮齿类及灵长类动物身上進行的限制热量摄入实验的结果可能支持这一发现。限制热量摄入(Caloric restriction, CR)是已知的唯一能够使啮齿类乃至灵长类动物减缓衰老和延长寿命的方法[85,86]。CR小鼠的寿命延长的表型也可能与新陈代谢的下降及UPP活性的下调有关[87,88]。凡此种种都支持新陈代谢的下降也能相应地导致“垃圾处理器”的减小这样一种观点。此外,有的科学家还发现CR动物具有抗应力和疾病抵抗能力增强这一表型[89,90]。但是否气功修练者的抵抗力增强与此有关还有待進一步证实。修炼者的泛素蛋白质降解系统的剧烈变化说明此体系可能作为一个新陈代谢变化的分子感应器。鉴于泛素蛋白质降解系统在各种细胞生理和病理过程中的重要性,法轮大法修炼或许可作为针对多种人类疾病的替代疗法。
最后,我们小结一下以上的发现。精神修炼可能影响下列基因的表达,其中包括蛋白质合成与降解,细胞代谢,细胞死亡,以及免疫调控。此外,我们的结果也说明周围血细胞可以被用来研究基因水平上的基因表达变化。在这些变化中,最值得一提的是细胞凋零死亡基因的调控:抗细胞凋零死亡基因的下调控有利于免疫增强的情况下炎症细胞的快速解决。这一调控非常重要,因为可以避免由于免疫力增强而造成对个体的自我损伤。与代谢率下降有关的趋势支持长期以来的看法,即降低代谢率可能减缓老化过程和延长寿命。UPP系统的显著变化進一步说明了这一系统在生理和病理方面的重要意义,也反应了这一系统在人类精神意识方面对健康的重要性。目前,为了進一步研究人类的精神意识如何影响基因表达,我们正在進行修炼前后的对照,以及其他精神修炼的变化。我们希望我们的研究为现代身心相互作用方面提供一些新的研究策略和方向。
参考文献
1. Danner DD, Snowdon DA, Friesen WV. Positive emotions in early life and longevity: findings from the nun study. J Pers Soc Psychol 2001;80(5):804-13.
2. Kiecolt-Glaser JK, McGuire L, Robles TF, Glaser R. EMOTIONS, MORBIDITY, AND MORTALITY: New Perspectives from Psychoneuroimmunology. Annu Rev Psychol 2002;53:83-107.
3. Editorial. Progress and promise in research on social and cultural demensions of health: a research agenda. In: NIH, editor; 2001; NIH, Bethesda, MD 20892.
4. King MC, Wilson AC. Evolution at two levels in humans and chimpanzees. Science 1975;188(4184):107-16.
5. Paabo S. Genomics and society. The human genome and our view of ourselves. Science 2001;291(5507):1219-20.
6. Enard W, Khaitovich P, Klose J, Zollner S, Heissig F, Giavalisco P, Nieself-Struwe K, Muchmore E, Varki A, Ravid R and others. Intra- and interspecific variation in primate gene expression patterns. Science 2002;296:340-343.
7. Beecher H. The powerful placebo. JAMA 1955;159:1602-1606.
8. Shapiro AK. Placebo effects in medicine,psychotherapy, and psychoanalysis. In: Bergin A, Garfield S, editors. Handbook of psychotherapy and beharior change. New York: Wiley and Sons; 1971.
9. Benson H, Epstein MD. The placebo effect. A neglected asset in the care of patients. Jama 1975;232(12):1225-7.
10. Stefano GB, Fricchione GL, Slingsby BT, Benson H. The placebo effect and relaxation response: neural processes and their coupling to constitutive nitric oxide. Brain Res Brain Res Rev 2001;35(1):1-19.
11. Walsh BT, Seidman SN, Sysko R, Gould M. Placebo response in studies of major depression: variable, substantial, and growing. Jama 2002;287(14):1840-7.
12. Schweiger A, Parducci A. Nocebo: the psychologic induction of pain. Pavlov J Biol Sci 1981;16(3):140-3.
13. Spiegel H. Nocebo: the power of suggestibility. Prev Med 1997;26(5 Pt 1):616-21.
14. Benson H. The nocebo effect: history and physiology. Prev Med 1997;26(5 Pt 1):612-5.
15. Barsky AJ, Saintfort R, Rogers MP, Borus JF. Nonspecific medication side effects and the nocebo phenomenon. Jama 2002;287(5):622-7.
16. Hrobjartsson A, Gotzsche PC. Is the placebo powerless? An analysis of clinical trials comparing placebo with no treatment. N Engl J Med 2001;344(21):1594-602.
17. Petrovic P, Kalso E, Petersson KM, Ingvar M. Placebo and Opioid Analgesia--Imaging a Shared Neuronal Network. Science 2002;7:7.
18. de la Fuente-Fernandez R, Ruth TJ, Sossi V, Schulzer M, Calne DB, Stoessl AJ. Expectation and dopamine release: mechanism of the placebo effect in Parkinson's disease. Science 2001;293(5532):1164-6.
19. Leuchter AF, Cook IA, Witte EA, Morgan M, Abrams M. Changes in brain function of depressed subjects during treatment with placebo. Am J Psychiatry 2002;159(1):122-9.
20. Vedantam S. Against depression, a sugar pill is hard to beat: Placebos improve mood, change brain chemistry in majority of trials of antidepressants. Washington post 2002.
21. Torrey EF, Miller J. The invisible plague: The rise of mental illness from 1750 to the present; 2001.
22. Schuster MA, Stein BD, Jaycox L, Collins RL, Marshall GN, Elliott MN, Zhou AJ, Kanouse DE, Morrison JL, Berry SH. A national survey of stress reactions after the September 11, 2001, terrorist attacks. N Engl J Med 2001;345(20):1507-12.
23. Galea S, Ahern J, Resnick H, Kilpatrick D, Bucuvalas M, Gold J, Vlahov D. Psychological sequelae of the September 11 terrorist attacks in New York City. N Engl J Med 2002;346(13):982-7.
24. Vlahov D, Galea S, Resnick H, Ahern J, Boscarino JA, Bucuvalas M, Gold J, Kilpatrick D. Increased use of cigarettes, alcohol, and marijuana among Manhattan, New York, residents after the September 11th terrorist attacks. Am J Epidemiol 2002;155(11):988-96.
25. Goodnouch A. Post-9/11 pain found to linger in young minds. New York Times 2002 May 20.
26. AP. Post-trauma stress plagues NYC kids. MSNBC 2002;https://www.msnbc.com/news/746411.asp.
27. Jacobs GD. The physiology of mind-body interactions: the stress response and the relaxation response. J Altern Complement Med 2001;7(Suppl 1):S83-92.
28. Tabor HK, Risch NJ, Myers RM. OPINION: Candidate-gene approaches for studying complex genetic traits: practical considerations. Nat Rev Genet 2002;3(5):391-7.
29. Kiberstis P, Roberts L. It's Not Just the Genes. Science 2002;296(5568):685-.
30. Marx J. Unraveling the causes of diabetes. Science 2002;296(5568):686-9.
31. Marshall E. Lupus: Mysterious Disease Holds Its Secrets Tight. Science 2002;296(5568):689-691.
32. Sawa A, Snyder SH. Schizophrenia: diverse approaches to a complex disease. Science 2002;296(5568):692-5.
33. Willett WC. Balancing Life-Style and Genomics Research for Disease Prevention. Science 2002;296(5568):695-698.
34. Rees J. Complex Disease and the New Clinical Sciences. Science 2002;296(5568):698-700.
35. Strohman R. Maneuvering in the Complex Path from Genotype to Phenotype. Science 2002;296(5568):701-703.
36. Editorial. Prevention remains the best medicine. Nature 2002;416(6880):416.
37. Snowdon DA, Greiner LH, Markesbery WR. Linguistic ability in early life and the neuropathology of Alzheimer's disease and cerebrovascular disease. Findings from the Nun Study. Ann N Y Acad Sci 2000;903:34-8.
38. Snowdon DA. Aging with grace: what the nun study teaches us about leading longer, healthier, and more meaningful lives. New York, New York: Bantam Books; 2001.
39. Gimbel MA. Yoga, meditation, and imagery: clinical applications. Nurse Pract Forum 1998;9(4):243-55.
40. Herrick CM, Ainsworth AD. Invest in yourself. Yoga as a self-care strategy. Nurs Forum 2000;35(2):32-6.
41. Pettinati PM. Meditation, yoga, and guided imagery. Nurs Clin North Am 2001;36(1):47-56.
42. Lewis DE. T'ai chi ch'uan. Complement Ther Nurs Midwifery 2000;6(4):204-6.
43. Chen KM, Snyder M, Krichbaum K. Clinical use of tai chi in elderly populations. Geriatr Nurs 2001;22(4):198-200.
44. Li HZ. Zhuan Falun - The Complete Teaching of Falun Gong. Gloucester: Fair Winds Press; 2001. 345 p.
45. Coker KH. Meditation and prostate cancer: integrating a mind/body intervention with traditional therapies. Semin Urol Oncol 1999;17(2):111-8.
46. Shang C. Emerging paradigms in mind-body medicine. J Altern Complement Med 2001;7(1):83-91.
47. Jones BM. Changes in cytokine production in healthy subjects practicing Guolin Qigong : a pilot study. BMC Complement Altern Med 2001;1(1):8.
48. Kaba A, Jiang PH, Chany-Fournier F, Chany C. Sarcolectin (SCL): structure and expression of the recombinant molecule. Biochimie 1999;81(7):709-15.
49. Kaiser V, Diamond G. Expression of mammalian defensin genes. J Leukoc Biol 2000;68(6):779-84.
50. van Wetering S, Sterk PJ, Rabe KF, Hiemstra PS. Defensins: key players or bystanders in infection, injury, and repair in the lung? J Allergy Clin Immunol 1999;104(6):1131-8.
51. Fellermann K, Stange EF. Defensins -- innate immunity at the epithelial frontier. Eur J Gastroenterol Hepatol 2001;13(7):771-6.
52. Samuel CE. Antiviral actions of interferons. Clin Microbiol Rev 2001;14(4):778-809.
53. Shtrichman R, Samuel CE. The role of gamma interferon in antimicrobial immunity. Curr Opin Microbiol 2001;4(3):251-9.
54. Jouanguy E, Doffinger R, Dupuis S, Pallier A, Altare F, Casanova JL. IL-12 and IFN-gamma in host defense against mycobacteria and salmonella in mice and men. Curr Opin Immunol 1999;11(3):346-51.
55. Dorman SE, Holland SM. Interferon-gamma and interleukin-12 pathway defects and human disease. Cytokine Growth Factor Rev 2000;11(4):321-33.
56. Horuk R, Hesselgesser J, Zhou Y, Faulds D, Halks-Miller M, Harvey S, Taub D, Samson M, Parmentier M, Rucker J and others. The CC chemokine I-309 inhibits CCR8-dependent infection by diverse HIV-1 strains. J Biol Chem 1998;273(1):386-91.
57. Lee S, Tiffany HL, King L, Murphy PM, Golding H, Zaitseva MB. CCR8 on human thymocytes functions as a human immunodeficiency virus type 1 coreceptor. J Virol 2000;74(15):6946-52.
58. Matzinger P. An innate sense of danger. Ann N Y Acad Sci 2002;961:341-2.
59. Adams JM, Cory S. Life-or-death decisions by the Bcl-2 protein family. Trends Biochem Sci 2001;26(1):61-6.
60. Smith JA. Neutrophils, host defense, and inflammation: a double-edged sword. J Leukoc Biol 1994;56(6):672-86.
61. Webb PR, Wang KQ, Scheel-Toellner D, Pongracz J, Salm
on M, Lord JM. Regulation of neutrophil apoptosis: a role for protein kinase C and phosphatidylinositol-3-kinase. Apoptosis 2000;5(5):451-8.
62. Ohta K, Yamashita N, Tajima M, Miyasaka T, Kawashima R, Nakano J, Arioka H, Ishii A, Horiuchi T, Miyamoto T. In vivo effects of apoptosis in asthma examined by a murine model. Int Arch Allergy Immunol 2001;124(1-3):259-61.
63. Simpson SJ, Hines PJ. Self-Discrimination, a Life and Death Issue. Science 2002;296(5566):297-.
64. Matzinger P. The Danger Model: A Renewed Sense of Self. Science 2002;296(5566):301-305.
65. Medzhitov R, Janeway CA, Jr. Decoding the patterns of self and nonself by the innate immune system. Science 2002;296(5566):298-300.
66. Akgul C, Moulding DA, Edwards SW. Molecular control of neutrophil apoptosis. FEBS Lett 2001;487(3):318-22.
67. Kasahara Y, Iwai K, Yachie A, Ohta K, Konno A, Seki H, Miyawaki T, Taniguchi N. Involvement of reactive oxygen intermediates in spontaneous and CD95 (Fas/APO-1)-mediated apoptosis of neutrophils. Blood 1997;89(5):1748-53.
68. Schneider RH, Nidich SI, Salerno JW, Sharma HM, Robinson CE, Nidich RJ, Alexander CN. Lower lipid peroxide levels in practitioners of the Transcendental Meditation program. Psychosom Med 1998;60(1):38-41.
69. Check E. Immunology: The virtue of tolerance. Nature 2002;418(6896):364-6.
70. Glickman MH, Ciechanover A. The ubiquitin-proteasome proteolytic pathway: destruction for the sake of construction. Physiol Rev 2002;82(2):373-428.
71. Yewdell JW. Not such a dismal science: the economics of protein synthesis, folding, degradation and antigen processing. Trends Cell Biol 2001;11(7):294-7.
72. Hershko A, Ciechanover A. The ubiquitin system. Annu Rev Biochem 1998;67:425-79.
73. Vu PK, Sakamoto KM. Ubiquitin-mediated proteolysis and human disease. Mol Genet Metab 2000;71(1-2):261-6.
74. Ciechanover A, Schwartz AL. Ubiquitin-mediated degradation of cellular proteins in health and disease. Hepatology 2002;35(1):3-6.
75. Adams J. Proteasome inhibition in cancer: development of PS-341. Semin Oncol 2001;28(6):613-9.
76. Garber K. taking garbage in, tossing cancer out? Science 2002;295(5555):612-3.
77. Joazeiro CA, Weissman AM. RING finger proteins: mediators of ubiquitin ligase activity. Cell 2000;102(5):549-52.
78. Freeman H. An increase in insanity. Nature 2002;417(6885):123.
79. Jackson PK, Eldridge AG, Freed E, Furstenthal L, Hsu JY, Kaiser BK, Reimann JD. The lore of the RINGs: substrate recognition and catalysis by ubiquitin ligases. Trends Cell Biol 2000;10(10):429-39.
80. Reymond A, Meroni G, Fantozzi A, Merla G, Cairo S, Luzi L, Riganelli D, Zanaria E, Messali S, Cainarca S and others. The tripartite motif family identifies cell compartments. Embo J 2001;20(9):2140-51.
81. Coffino P. Antizyme, a mediator of ubiquitin-independent proteasomal degradation. Biochimie 2001;83(3-4):319-23.
82. Bond U, Schlesinger MJ. Ubiquitin is a heat shock protein in chicken embryo fibroblasts. Mol Cell Biol 1985;5(5):949-56.
83. Bond U, Schlesinger MJ. The chicken ubiquitin gene contains a heat shock promoter and expresses an unstable mRNA in heat-shocked cells. Mol Cell Biol 1986;6(12):4602-10.
84. Latchman DS. Heat shock proteins and cardiac protection. Cardiovasc Res 2001;51(4):637-46.
85. Lane MA, Black A, Handy A, Tilmont EM, Ingram DK, Roth GS. Caloric restriction in primates. Ann N Y Acad Sci 2001;928:287-95.
86. Roth GS, Ingram DK, Lane MA. Caloric restriction in primates and relevance to humans. Ann N Y Acad Sci 2001;928:305-15.
87. Lee CK, Klopp RG, Weindruch R, Prolla TA. Gene expression profile of aging and its retardation by caloric restriction. Science 1999;285(5432):1390-3.
88. Lee CK, Weindruch R, Prolla TA. Gene-expression profile of the ageing brain in mice. Nat Genet 2000;25(3):294-7.
89. Raffoul JJ, Guo Z, Soofi A, Heydari AR. Caloric restriction and genomic stability. J Nutr Health Aging 1999;3(2):102-10.
90. Yu BP, Chung HY. Stress resistance by caloric restriction for longevity. Ann N Y Acad Sci 2001;928:39-47.
脚 注:
文稿寄出后,又出现了新的证据提示防御素可能也参与了炼功人的抗HIV作用。最近,张等人发现CD8的抗病毒因子就是防御素(1,2,3),具有很强的抗 HIV-1的活性。(Zhang et al. Contribution of human alpha-defensin 1, 2, and 3 to the anti-HIV-1 activity of CD8 antiviral factor Science 2002 Nov 1;298(5595):995-1000)
致谢:
感谢弗杰尼亚Mason研究中心王同文的有益的建议;感谢贝勒医学院的C.Wayne Smith讨论,鼓励和支持;感谢L.Schmidt和C.Robinson的文秘工作。感谢吴为的翻译工作。这项研究的经费来自贝勒医学院医学系的系基金(封莉莉)。