Advertisement


邢加秋在沈阳监狱城遭警察及犯人毒打和折磨(图)

EMail 转发 打印 安装苹果智能手机明慧APP 安装安卓智能手机明慧APP
【明慧网2005年8月9日】辽宁省葫芦岛市连山区钢屯镇大法弟子邢加秋被绑架判刑,在沈阳第三监狱遭到警察及犯人的集体毒打和残酷折磨,目前仍被关押在沈阳监狱城第一监狱一监区,并被关进“严管”加重迫害

大法弟子邢加秋

大法弟子邢加秋,30岁,张家沟村邢屯农民,自1996年开始修炼法轮功以来,家庭幸福美满,并且其妻子、岳父、岳母等人也都修炼,一家人生活得非常和睦。99年7月对法轮功的残酷镇压开始后,邢加秋一家人就再也没有过上安稳的日子,不断的遭到政府不法人员的残酷迫害。在当地恶警的百般骚扰与迫害的情况下,邢加秋与妻子于2001年6月4日被迫流离失所。邢加秋那99年末出生的小儿子,6年多来,一直与父母长期分离,直到现在仍由其爷爷奶奶照管着。

2002年5月28日,邢加秋与另一法轮功学员在钢屯镇虹螺山(庙会)散发真象材料,而被当地派出所恶警绑架,在遭到钢屯恶警昼夜的种种酷刑折磨后,被投入葫芦岛市看守所。同年7月被非法秘密判刑六年,于8月27日下午,被劫持往锦州市南山监狱。2002年9月,邢加秋被投入沈阳第三监狱(原大北监狱,现在在沈阳监狱城)。监狱不法人员拿不出邢有罪的证据,讲不出道理来,就采用卑劣的手段进行肉体折磨、人格侮辱、精神摧残等,试图以此达到让邢加秋“认罪”的目地,为他们自己捞取资本。邢加秋始终不配合邪恶的迫害,遭受折磨。

在入监队,邢加秋因为不背《罪犯改造行为规范》,被几名警察安排的监控犯人用橡胶管猛烈抽打身上各个部位,被打倒后又遭到一顿拳脚。

两天后,恶警又把一身伤痛的邢加秋调到二监区。二监区的管教大队长王晓波、管教干事董仑山派两名犯人对邢加秋进行非法监管,强制邢加秋做一切事物,如:洗漱、吃饭、喝水、上厕所、走路等等都要先向犯人报告,经犯人准许后由犯人监视方可进行。恶徒每天逼迫邢加秋干十多个小时的活,不完成劳动定额就威胁甚至打骂;晚上收工后不准他看电视,不准与人交谈,强制邢坐板到22:00点。

恶警们为了迫使邢加秋放弃自己的信仰,进一步升级迫害他。2003年春节过后,恶警指使创收分队的管事犯人王权强制邢加秋面壁罚站,邢问“为什么罚我?”王权说:“你他X的别废话,站那儿!”犯人敢于如此嚣张,完全是因为有警察王晓波、董仑山在背后唆使。

邢加秋每天被迫从8:00点至20:00点面壁而立,不准移动,稍有不从就会招来一顿毒打。有一次王权伙同犯人李素安、金永军等人以邢加秋背不好“监规”为由把他打倒,恶徒们穿大头鞋一直往邢腿部的一个部位踢,用拳头连续击打心口,致使邢呼吸困难感觉窒息。第二天,3人要求邢加秋认罪,遭拒绝后,李素安开始扭曲着脸狠狠的抽打邢加秋的耳光,并大肆谩骂,语言污秽不堪。第三天,犯人王权又纠集犯人李素安、金永军等对邢加秋进行折磨。3人把邢加秋摁在地上一番毒打,邢大声呼叫,警察听见了,却置之不理!

王权、李素安等犯人说:“让你随便喊,打死你!”并更加凶狠的施暴,邢剧痛难忍在地上翻滚,犯人们打累了才住手。

邢加秋的腿被严重受伤,不能正常走路,遍体鳞伤。如此十余日,邢加秋已经被折磨的疲惫不堪,身心恍惚。

2003年3月,邢加秋旧伤未愈,不法犯人又开始了新一轮无人性的摧残。邢加秋不堪残酷的摧残,以绝食抗议。在监区队长王小波、董仑山的指使下,犯人王权、李素安、王明涛、王文宝、金永军等人,在操作间里(厂区)对邢加秋进行围殴。犯人李素安找来一根铁锹把儿,犯人们把邢摁倒在地,扒下他的棉裤,分别踩着、摁着他的头、腿、胳膊,犯人李素安狰狞着脸抡起锹把猛烈抽打邢加秋的腰、臀等部位,不知打了多少下。

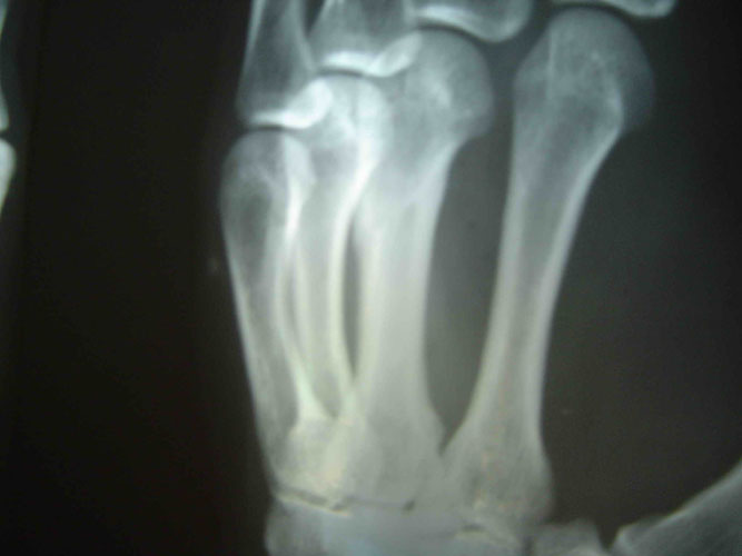
因为剧痛,邢加秋挣脱用手去挡,抬起的手却被犯人李素安抡了一棒,邢眼前一黑晕了过去,不法犯人们又把他打醒,强制他站起来,这时,邢加秋的手背肿得象个馒头,手心青紫,不能动,感觉骨头象断了一样。第二天,犯人李素安、犯人金永军说邢加秋罚站时动摇,对他又一顿毒打,李素安阴险地冲着邢加秋受伤的手砍了一掌,邢大叫一声痛得坐在地上,此后邢家秋的手剧烈疼痛不敢动。(2005年6月在沈阳第一监狱拍的X光片子显示邢加秋左手中指骨折)

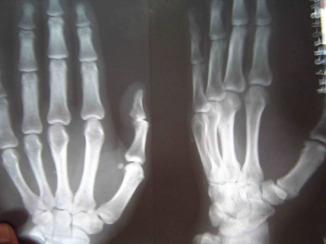
高精度图片高精度图片
这已是两年后的照片了,但仍然清晰可见左手中指骨折的痕迹


2005年3月18日,犯人王文宝再次对邢加秋进行毒打,大法学员刘明特因阻止王文宝行恶,也遭到犯人王文宝、刘晨、关永波、邹立明等人殴打。3月25日邢家秋被十二监区犯人孙永生用手打脸部。后来邢加秋曾经问过犯人王权、李素安等人:“我们无冤无仇为什么如此对待我”!两犯人在心情好的时候直言相告,说漏了嘴。王权说:“监狱开会了,要加大转化力度”。李素安说:“队长如果不让,我们谁也不会打你。”

邢加秋所遭受的迫害,是王晓波、董仑山指使、纵容、包庇犯人造成的。从这两名警察的行为严重践踏法律。作为监警,除了在职权范围内行使权利外,还必须接受上司和监督部门的监督,可王、董二人竟然能把残害被非法关押的法轮功学员的违法行为进行至今,而未遭到任何限制、制止和惩罚。其实,江××政治流氓集团对法轮功学员的迫害政策从来就不是什么秘密,“打死算白打,打死算自杀”的密令早已被迫害法轮功学员的狱警当作执法犯法的“尚方宝剑”挂在了嘴边,而不再是什么“密”令了。

自古以来,任何一次邪恶势力对正义、善良的迫害都不会长久。如今中共对法轮功的迫害在已经是“失道寡助”,就连下面执行命令的警察也都渐渐明白了真象,不再参与迫害了。奉劝极少数还在参与迫害的不法之徒,不要再干断送自己和家人未来的蠢事了。

目前邢加秋仍被关押在沈阳监狱城第一监狱一监区,并正处在危难之中。据其所在大队大队长称,邢加秋已被关进“严管”加重迫害。呼吁全世界正义之士关注邢加秋的受迫害遭遇,强烈要求沈阳监狱城立即释放饱受折磨的大法弟子邢加秋。

附相关电话:(区号:024)
沈阳监狱城通讯地址:辽宁省沈阳市于洪区育新路七号(邮编:110145)
地理位置:沈阳市于洪区平罗镇白辛台子村
沈阳监狱城电话总机:024-89296556、024-89296438
沈阳监狱城办公室主任段文海办公电话:024---89296011
下面是沈阳监狱城第一监狱部份电话:(区号0429)
狱政科长:89296160
副科长:89296161
一监区:
大队长历宝聚:89296255 手机:13304050502
教导员:89296252
原二监区大队长王晓波电话:89296308
一监区监区长:89296251
二监区监区长:89296256

(c) 1999-2026 明慧网版权所有





2026年神韵

Advertisement

Advertisement

Advertisement

Advertisement

Advertisement

Advertisement

Advertisement

Advertisement

Advertisement