明慧网 2019年02月24日 星期日 全部文章

要获取每日的全部图片,请到图片网的"最新图片"栏目(http://photo.minghui.org/

  • 大陆青年游客的感动

  • 游台北故宫明真相三退 阖家喜洋洋(图)

  • 山东泰安市六旬朱桂贞、平秀英被非法判刑

  • 辽宁抚顺周玉芳被折磨得骨瘦如柴

  • 长沙铁路公安分局国保绑架构陷韩学志

  • 吉林省珲春市六旬残疾妇女被关押 亲人呼吁释放

  • 山东省东营市七旬朱永平被构陷到检察院

  • 诚念“法轮大法好” 八旬老人骨折16天愈合(图)

  • 湖南郴州市政法委书记刘志伟遭恶报落马

  • 不要问本地上网的稿件是谁写的

  • 请同修注意修去情和怨

  • 师父治好了让我生不如死的牛皮癣

  • “这书怎么写的这么好?”

  • 从新修大法 身体健康 心性提高

  • 听大法 植物人醒来了

  • 师父救我 把我从地狱中除名

  • 我终于去掉了对父母的怨

  • 明白真相后老伴变了

  • 同修的修炼状态促我精進

  • 心平气和讲真相 师尊慈悲看护

  • 放下私情 救人为重

  • 观念转 丈夫变

  • 二零一九年二月二十四日大陆综合消息

  • 30人声明从新开始修炼

  • 明慧地方期刊(甘肃省、北京市、东营市、杭州市、荆州市、临沂市、孝感市、咸宁市、淄博市、郴州市、邯郸市、聊城市)

  • 明慧期刊:天赐洪福(第七期)手机epub版

  • 手机图片版:绝处逢生(第30期)

  • 手机图片版:明慧周报(第七三三期)

  • 明慧广播:海外消息(2019.2.23)

  • 明慧广播:大陆消息(2019.2.23)

  • 明慧广播:神传医道与扁鹊换心



  • 大陆青年游客的感动

    台湾景点讲真相系列报道(三)之一

    【明慧网二零一九年二月二十四日】(明慧记者郑语焉台湾台北采访报道)位于台北市外双溪的国立故宫博物院(简称台北故宫),建筑设计秉承了中国传统的宫殿式风格,典雅而壮丽。院内珍藏有全世界最多的中华艺术瑰宝,范围囊括书画、玉器、陶瓷、缮本、雕刻等中华民族宝藏,收藏品主要承袭自宋、元、明、清四朝,拥有“中华文化宝库”的美名;因而吸引许多中外游客来此参观,自二零零八年七月开放中国大陆游客来台观光之后,更是他们参访的热门景点之一。

    图1:位于台北市外双溪的国立故宫博物院(简称台北故宫),是中国大陆游客参访的热门景点之一。
    图1:位于台北市外双溪的国立故宫博物院(简称台北故宫),是中国大陆游客参访的热门景点之一。

    图2~5:故宫博物院是法轮功学员在二零零二年第一个建立的真相点,中国大陆游客聚焦关注法轮功真相。
    图2~5:故宫博物院是法轮功学员在二零零二年第一个建立的真相点,中国大陆游客聚焦关注法轮功真相。

    故宫院区前面,宽广空地的左右两侧,分别植栽翠绿的树木围篱,区隔大小车辆接送旅客时临停,以及旅客步行或停留区域的界线。挨着青翠的树篱笆,排列着法轮功的真相展板,印证法轮大法弘传世界、在各地受到欢迎和褒扬的盛况;揭露中共残酷迫害、活摘器官等恶行;以及全球声援中国民众控告罪魁祸首并要求法办迫害元凶的真相。在展现法轮大法的美好的同时,也揭露中共无理迫害的邪恶本质,天灭中共、恶人遭报的必然。

    熙来攘往的游客,有的驻足展板前观看真相内容,有的手指着特别关注的真相与同伴分享或讨论,有的从学员手中接过真相报导认真阅读,有的聆听学员讲真相,许多明白真相的中国游客,请学员帮他们声明三退(退出中共党、团、队,简称三退),也有不少人,早已上网三退,或在家乡接获法轮功学员的电话,明白真相后已经三退,匆匆一走一过之间,拿起手机拍摄展板上的真相,表示要带回去与亲朋好友分享。

    图6:有的游客拍摄真相带回去与亲友分享。
    图6:有的游客拍摄真相带回去与亲友分享。

    图7~8:大陆游客观看展板内容并聆听法轮功学员讲真相。
    图7~8:大陆游客观看展板内容并聆听法轮功学员讲真相。

    这里是台湾法轮功学员于二零零二年第一个建立的真相点,建点的学员表示,刚开始不太顺利,因为院方不理解,为什么每天都有法轮功学员举着横幅、拿着展板出现在故宫广场,驻警也会阻挡学员。经过努力不懈地讲真相,以及院方对学员的观察,台北故宫高层了解了法轮功学员无私的付出,是为那些因为信仰真善忍,遭受中共残酷迫害、却无法发声的中国百姓。此后,故宫方面给予法轮功学员最大的支持。

    多年来,不管是刮风下雨或严寒酷暑,法轮功学员全年无休地在此告诉世人发生在中国大陆的真相,盈盈可掬地在人群中穿梭,为中外游客、尤其是来自中国大陆的观光客,递上打开了解真相宝盒的钥匙。有的发送真相资料,有的向可贵的中国人讲真相劝善,协助明白真相的中国人声明三退。

    八十三岁的马大姐因为大儿子的推荐,于一九九八年二月拜读《转法轮》之后开始修炼,原本中西医束手无策的十二指肠溃疡,和一些说不上名堂的小毛病都不药而愈。

    她到故宫讲真相已有七、八年,日前,马大姐向一家三代六人讲真相,孙子早在大陆三退,第二代的两人很快就表示要退,年约八十来岁的老太太不肯,赌气似地径自走上故宫前的阶梯,马大姐看她很吃力,上前搀扶陪她往上走,老太太突然顿脚说:“我要退党!”马大姐一愣:“你刚刚不是不退吗?”老太太坚定的、郑重地重复说:“我就是要退党!”其余两位晚辈也都跟着三退。马大姐说:“看到对方退党,抹去共党邪灵的兽印,我为他们庆幸,这事也让我意识到不要轻易放弃。”

    图9:李素真到故宫讲真相已有十年,日前有位中国青年感动对她说:“你们真的好伟大!”
    图9:李素真到故宫讲真相已有十年,日前有位中国大陆青年感动对她说:“你们真的好伟大!”

    李素贞于二零零二年九月一日开始修炼法轮功,到故宫讲真相已有十年。素贞说,以前常会碰到中国人接触到事实真相时,对其思想观念产生了很大冲击,有的逃避真相,有的恶言辱骂。随着全球法轮功学员努力不懈的透过各种管道,开发各种项目讲真相,明白真相的人越来越多,从二零零四年年底兴起了退出中共党团队的三退大潮,经常一群一群的登记三退,近年来常有陆客主动找上学员,请求协助声明三退,她例举前几天发生的小插曲。

    车子已经等候一阵子了,一位六、七十岁的先生匆匆赶着上车之际,素真随手递给他真相报纸,老先生说看过了,素真递给他《九评共产党》时,老先生突然说:“人家都在退党,我咋没退!?”素真赶紧帮他取个化名退党,老先生高兴的一直说:“谢谢,谢谢!”这才安心地上车。

    也是前几天的下午,一位二十多岁的男青年在一旁静静待着,等素真帮几位三退完之后,男青年说他早已从新唐人等媒体讯息明白真相,可是还没退,素真帮他取了化名退党之后,男青年感激地说:“阿姨,我能不能抱抱你?我好感动,你们真的好伟大,我们真的是要靠你们!”素真说:“也要你们自己觉醒,这是很重要的。”

    图10:从大陆嫁到台湾的李鑫菊,从二零零五年起就每天都到台北故宫讲真相劝退。
    图10:从大陆嫁到台湾的李鑫菊,从二零零五年起就每天都到台北故宫讲真相劝退。

    李鑫菊从福州嫁到台湾已有二十多年。一九九八年返乡探亲,惊奇地发现整年病恹恹的妹妹修炼法轮大法后,变得无病一身轻,鑫菊也跟着走进修炼。她从二零零五年起就每天都来故宫讲真相劝三退。

    就读高中时,曾经当过红卫兵的鑫菊表示,从小接受共产党毒素教育:与天斗、与地斗、与人斗,不停地斗。嫁来台湾后思想上有很大的矛盾与正反两方的缠斗,后来渐渐明白,在自由台湾保有的中华传统文化:仁义礼智信的善良品德,才是做人的根本,尤其修炼后,遵循宇宙特性真、善、忍提升了认识与实践。中共的教育就是灌毒,目的是打掉人的根本,成为中共的工具任其摆布,以及为它垫背的牺牲品。

    遇到对中共还有迷思的中国人,鑫菊常用她亲身的经历与体认对他们讲真相,人们无不关心切身安危,愿意听真相的人都会清醒过来,并且选择三退,摆脱共产邪灵的控制。鑫菊说:“现在已有三亿二千多万中国人退党(团队),但还有很多人在等待得救机会,今年大年初一和初二,我在这儿两个半天,就帮一百四十位中国人做了三退。”

    还有其他法轮功学员,当他们在台北故宫这里讲真相,与来自中国大陆的游客相遇时,又会擦出什么样的火花?请阅读后续报道。

    <英文版: http://en.minghui.org/html/articles/2019/3/5/176041.html>

    游台北故宫明真相三退 阖家喜洋洋(图)

    台湾景点讲真相系列报道(三)之二

    【明慧网二零一九年二月二十四日】(明慧记者郑语焉台湾台北采访报道)(承上文)位于台北市外双溪的国立故宫博物院(简称台北故宫),是台湾法轮功学员于二零零二年第一个建立的真相点,每天都有法轮功学员自发自愿的来在这里讲真相,为中外游客、尤其是来自中国大陆的观光客,递上打开了解真相宝盒的钥匙。

    法轮功也称法轮大法,是由李洪志先生于一九九二年五月传出的佛家上乘修炼大法,以“真善忍”为根本指导。经亿万人的修炼实践证明,法轮大法是大法大道,在把真正修炼的人带到高层次的同时,对稳定社会、提高人们的身体素质和道德水准,也起到了不可估量的正面作用。

    一九九九年七月二十日,中共发动了对法轮功的全面迫害,这场迫害不仅针对法轮功学员的“真善忍”信仰,也针对所有人的道德原则和精神价值进行摧毁,引发全球法轮功学员和平理性反迫害,透过各种方式讲真相。法轮功学员在观光景点摆展板、发资料、讲真相已经成为世界各地热门景点上最特殊的风景线。

    '图1~4:故宫景点上特殊的风景线:法轮功真相展板及内容吸引大陆游客聚焦与关心。'
    图1~4:故宫景点上特殊的风景线:法轮功真相展板及内容吸引大陆游客聚焦与关心。

    中国大陆游客:我们心中都有一把尺

    '图5:林细泽修炼法轮功之后,人生的疑惑获得解答,身体健康。三年前开始到台北故宫讲真相劝三退。'
    图5:林细泽修炼法轮功之后,人生的疑惑获得解答,身体健康。三年前开始到台北故宫讲真相劝三退。

    林细泽于二零零一年经由同事介绍而拜读《转法轮》,紧接着连续读完法轮功所有书籍之后,人生的疑惑找到解答,决心修炼法轮功,不久之后,困扰她许久的头疼、头晕、腰酸和容易感冒的毛病都在不知不觉中消失不见。

    三年前,听说故宫需要人手讲真相,她便来到这个景点讲真相。她体会到法轮功学员的善意与所展现的风范能影响对方。她回忆,有一次,一对七十来岁的夫妻对细泽说:“我不信法轮功,也不信共产党。”夫妻俩要去大直,可是不知方向,细泽为他们详细说明,指引路线,临别时;这对夫妻有感叹:“原来你们法轮功真的这么善良,我信你们了。”老太太没戴过红领巾也没入过党团队,老先生则取化名退了党,然后高高兴兴地继续他们的旅游。

    细泽还感受到:随着全球法轮功学员努力不懈地透过各种管道,开发各种项目讲真相,近几年来,很多中国人对真相有所了解,越来越多的人听了三言两语就表示要声明三退。

    前不久,两男一女结伴而行,细泽上前递上真相报纸,二位男士神情愉快地说他们已有“名字”,早就退了。女士斜眼看细泽,一面走向石椅坐下休息,细泽没有放弃,鼓起勇气跟上那位女士,告诉她:“我是义工,我们来这边唯一的目的就是希望可贵的中国人,在灾难来时一定要平安,法轮功在大陆可是千古奇冤。”那位女士说:“其实我们都知道,我们心里都有一把尺。”细泽劝她勇敢选择正义与善良,女士很快就答应退党,并高兴地向细泽道谢。

    接着来了一男一女,女士对细泽说:“他是领导,你去给他退。”细泽刚开头讲真相,那位领导就说,其实他都知道,请细泽帮他三退。

    大陆青年:回去后要把真相讯息传出去

    一位二十多岁的年轻人细细观看展板上的真相,他对细泽表示,听过法轮功,但一直搞不懂是怎么回事。于是细泽从法轮功是修炼“真、善、忍”的佛家上乘修炼大法,谈到中共捏造天安门自焚伪案等栽赃污蔑的谎言,再讲到天地神人共愤的中共活摘法轮功学员器官等罪行。年轻人专心聆听并仔细收好翻墙软件说:“阿姨,我明白了,回去后,我要把这些消息传出去。”

    常有好奇的台湾民众趋前询问:“你们在这里做什么?”听学员讲述法轮功真相,以及学员们自发自愿来在这里对中国大陆游客讲真相的唯一目的,是让他们明白真相,清除共产邪灵灌输的毒素和钳制,选择正义善良,与中共划清界限,以免天灭中共来临时,成为恶贯满盈的中共的陪葬。民众听言之后都会竖起大拇指表示钦佩与支持。也有不少大陆游客三退之后对学员竖起大拇指表示敬佩与感激。

    日前,一位男士脱团蹲在路旁抽烟,细泽上前说:“大哥,法轮功的事不能说是不是?那你就听我说说真相可好?”男士点头,于是细泽从基本真相一路讲到中共活摘器官,恶贯满盈,终将被天所灭的报应,善良的人不与邪恶为伍,大难来时,要保平安。男士一面听一面猛点头,细泽帮他取化名退党时,男士的脸色顿时光亮起来,当他临上车前,回头对细泽竖起大拇指,点头表示感谢。

    中共党员了心愿:退出中国共产党

    '图6:玉治到故宫讲真相已有十年,经常帮一个家庭一个家庭的大陆游客声明三退。'
    图6:玉治到故宫讲真相已有十年,经常帮一个家庭一个家庭的大陆游客声明三退。

    玉治因为工作和家庭压力关系,中年时突发坐骨神经痛的毛病,行动困难,长期服用消炎止痛和松弛剂之类药物,吃到后来连胃也痛,医生检查不出病因,玉治干脆放弃治疗,可是经常求神时哭泣:我才五十岁,以后的日子怎么办?后经朋友介绍于二零零三年十二月,上了法轮大法九天学习班,隔天便到住家附近的公园参加集体炼功,从此开始修炼法轮大法,不知不觉过了几个月后,让她经常哭泣的所有病痛都不药而愈。

    玉治到故宫景点讲真相将近十年,个性沉默寡言的她,心心念念只想着要让中国人明白真相,做出正确选择,脱离中共谎言的荼毒与戕害。她熟记真相内容,却不知如何开口,于是在发送真相资料过程中,一面观摩其他法轮功学员如何讲真相,渐渐地,真相越讲越顺利。

    玉治说,遇到思想观念受到很大冲击的陆客凶狠谩骂,那时会很着急:他们不及时觉醒过来,天灭中共的时刻到来时,他们怎么办?能够把握的话,还是不能放弃。因为她感到:有时陆客恶狠狠地谩骂也不是真心要骂,而是一种掩饰。

    有一次,四、五位中年男士同行,从他们的穿着举止判断都是党员,其中一位冲着学员放声大骂,骂声中却一面放慢脚步,与同伴的距离越拉越远,玉治鼓起勇气上前讲真相,对方不但聆听,而且还请玉治帮他退党。玉治说,这才理解,原来这位男士的高声大骂是做给同伴听的,实际是想退党。

    故宫前三代退出中共党团队 阖家喜洋洋

    两岸开放“自由行”之后,很多大陆游客是阖家来台观光,玉治说她经常帮一个家庭一个家庭的退,近几年的中国新年,许多中国人选择全家来台观光过新年,今年也不例外。

    过大年期间,有这么一家三代:祖父母、父母和读小学的孩童五个人,上故宫参观游玩,他们向玉治表示之前已经听过,所以明白真相,对法轮功有很正面的好感,遗憾的是还没三退,玉治帮他们各取化名,四位大人退党,只戴过红领巾的小朋友退出少先队,一家子笑颜灿烂的向玉治道谢,带着新年最大的礼物(三退),欢天喜地地享受他们的旅游度假。

    <英文版: http://en.minghui.org/html/articles/2019/3/6/176052.html>


    山东泰安市六旬朱桂贞、平秀英被非法判刑

    【明慧网二零一九年二月二十四日】(明慧网通讯员山东报道)山东泰安市两位六十四岁的老太太朱桂贞和平秀英,因修炼法轮功,向百姓传播法轮大法的真相,二零一九年一月二十二日被泰安市泰山区法院非法开庭,朱桂贞被诬判四年,平秀英两年。

    朱桂贞女士,原泰安市木器厂退休职工;平秀英女士,泰安市泰山区邱家店镇宋官庄村民。两人都六十四岁。朱桂贞和平秀英均于一九九八年开始修炼法轮功,身心受益良多。

    二零一八年九月六日下午,两位老太太为了让民众了解法轮大法好的真相,在邱家店镇某村,发送法轮功真相资料,并向路人讲述法轮功受迫害的真相,遭邱家店派出所警察绑架,被关到泰安市看守所。

    在泰山区“610”的授意下,泰山区公安分局国保大队、检察院和法院一路违法操作,把她俩非法判刑四年和两年,现在朱桂贞、平秀英仍被关押在泰安市看守所。

    一九九九年七月中共江泽民犯罪集团疯狂打压法轮功后,朱桂贞和平秀英因不放弃修炼法轮大法,多次遭到关押迫害。朱桂贞曾被送到洗脑班迫害。平秀英于二零零零年一月进京为大法和师父说句公道话,被北京警察绑架。邱家店派出所的人把她带回来,送进泰山区拘留所,非法关押十五天,勒索三千元。

    酷刑演示:揪头发撞墙
    酷刑演示:揪头发撞墙

    二零零五年,朱桂贞带着真相材料和八十多岁的老母亲回到齐河老家。她去镇上发放真相材料时,被恶人构陷,遭绑架。当地一个警察拽着她的头发往墙上狠撞,吓得她老母亲哭了几天,不吃饭,病倒了。与此同时,泰安的警察就跟土匪一样抄了她的家,把家中所有的大法书抢走,被子给扔在地上,弄得一片狼藉。齐河县警察把朱桂贞送进县看守所非法关押。所里的人很凶,让她戴着手铐蹲在那里。她在里面被逼着干活儿,晚上蚊子咬得不能睡觉。朱桂贞被非法关了十几天,亲戚花了一万多元,才把她带回家。

    泰山区公安分局
    地址:泰安市泰山区岱道庵路158号
    电话:0538-8254019
    局长 杨启典 5388225172、18615389777
    政委 徐志强 5388226236、18615388068
    副局长 赵其钧 5386261038、18653898866 贾元玉 5386261003、18605380090 宋晓东 5386261036、1865389896 王洪亮 5386261239、18653898899
    政工主任 李兆斌 5386261236、18653898066
    刑警大队长 吴茂军 5386261608、18653898181
    治安大队长 王顼 5386261069、18653898566
    泰山区国保大队
    地址:泰山区东岳大街20号,邮编271000
    大队长 姚广富 18653898522
    教导员 高立祥 18653898110
    副大队长 彭国华 18653898101 李晓明 18653898107
    中队长 崔彦 18653898102
    指导员 钱祥村 18653898182
    中队长 苏斌 18653898597
    610中队长 田琳 18653898185
    邱家店派出所
    所长 王伟
    派出所电话:0538-8661110
    泰山区检察院 检察长 王增爱
    泰山区法院 院长 刘国峰

    <英文版: http://en.minghui.org/html/articles/2019/2/26/175969.html>


    辽宁抚顺周玉芳被折磨得骨瘦如柴

    【明慧网二零一九年二月二十四日】(明慧网通讯员辽宁报道)抚顺市法轮功学员周玉芳,向人们讲述法轮功被迫害真相时,遭警察非法抓捕,现在被非法关押在抚顺南沟看守所。昨天律师到看守所会见周玉芳,看到周玉芳身体状况非常不好,起身、走路都非常困难,要靠人搀扶。

    法轮功学员周玉芳,女,六十七岁,家住辽宁省抚顺市新抚区。二零一八年三月二十一日下午,周玉芳在新抚区万达广场附近讲法轮功真相时,被抚顺市公安局国保支队长彭越、魏振兴、新抚区千金派出所等警察绑架。当晚,彭越、魏振兴带人闯到周玉芳家非法抄家,并将周玉芳劫持到抚顺南沟看守所,但周玉芳因体检不合格被放回。

    二零一八年十二月十日早七点左右,千金派出所二个警察闯到周玉芳家,以要周玉芳去派出所协助调查为由把其骗到派出所,非法对其处以十五天拘留,随后将其劫持到南沟看守所非法关押。周玉芳在拘留所仅三天,就被迫害得生命垂危。她被送到抚顺矿务局医院抢救,因医生说她随时有生命危险,她才得以被放回。

    二零一九年一月四日下午三点,周玉芳被国保安排监视的人构陷,被绑架到新抚区站前派出所。家属赶到派出所,问为何要抓周玉芳。派出所回答是国保让抓的。家属告诉他们,周玉芳刚出院,仍有生命危险,要他们放人。但派出所拒绝放人,还于晚上六点半闯到周玉芳家非法抄家,并连夜将她关入南沟看守所非法刑拘。

    家属拿着周玉芳的病历到派出所给办案警察宋晓鑫看,宋晓鑫不接受,并推说此事与他们无关,他们只管抓人,要放人,得找国保。周玉芳家属又到市局国保要人,市局门卫森严,不让进。家属给国保支队长彭越打电话,彭越说跟他没关,是派出所抓的,找派出所要人。派出所与国保之间有意互相推脱,拒绝放人。

    目前周玉芳被非法关押在抚顺南沟看守所已四十多天了,周玉芳满口没有一个牙,吃饭困难,身体消瘦。现在出现头痛、迷糊、后脖颈椎疼痛,起身、行走都非常困难,靠俩人搀扶。

    《中华人民共和国宪法》第三十六条规定:“中华人民共和国公民有宗教信仰自由。任何国家机关、社会团体和个人不得强制公民信仰宗教或者不信仰宗教,不得歧视信仰宗教的公民和不信仰宗教的公民”。信仰自由是宪法赋予公民的权利。一个人信什么或不信什么,是一个人的自由意志的体现,是天赋人权。

    身为警察,身为执法者,一切都应依法行事,一切执法行为都要有法律依据。法轮功学员修炼法轮功、向人们讲法轮功被迫害的真相,这是公民的合法权利,没有触犯任何法律。把没有触犯任何法律的合法公民抓进看守所,并非法抄家,抢劫私人物品,这不是在执法,而是在犯罪。参与绑架、关押周玉芳的警察的行为违反我国《宪法》第三十七条关于“人身自由不受侵犯”的规定、触犯我国《刑法》第二百三十八条的规定,已构成非法拘禁罪;触犯我国《刑法》第三百九十七条的规定,已构成滥用职权罪;触犯我国《刑法》第二百四十五条,已构成非法搜查罪、非法侵入住宅罪;触犯我国《刑法》第二百六十九条,已构成抢劫罪。

    在此正告涉案相关警察,立即悬崖勒马,立即停止迫害法轮功,立即停止这种犯罪行为,立即释放周玉芳等被非法关押的法轮功学员,以免将来自己被追究法律责任。远离罪恶,才能远离灾难,希望你们好自为之。

    新抚区站前派出所:
    地址:抚顺市新抚区西八路9号,邮编113008
    宋晓鑫(办案人)024-52622096、18104235090
    所长陈雷13009243400
    指导员阚凯02452795016
    杨洪宇13114131314
    张玉明13941355189
    闫秀平13842328187

    新抚区千金派出所:
    电话:024-58365110
    所长苏禹024-58365110
    指导员赵廷春
    郭文斌(2018年12月10日绑架周玉芳时的办案人)
    警察王振兴18104235258
    中队长杜俊卿
    副中队长:刘宏博、郭文斌、侯宇

    新抚区公安分局:
    地址:抚顺市新抚区新抚路六道街,邮编113008
    办公室:024-52631421、024-52624707
    政治处:024-52622247、024-52645940
    纪检组:024-52624559
    社区警务科024-52625329
    局长黄伟13904133773
    政委刘玉德
    国保队长孙海武0242637861
    法制科科长贺伟新15504938155

    抚顺第一看守:
    所长周志国13941327000 15504931789
    教导员张敬会13898349689
    副所长才昴13604133036 15504931756
    曲毅024-52330910

    抚顺市第二看守所:
    所长阚凯024-56534826
    副所长张鑫15504931818
    教导员邹成武15504931880
    副所长原长伟13842368078
    副所长臧建茂15504931810
    赵春艳13704935075

    抚顺市看守所:
    地址:抚顺市望花区古城子街道南沟,邮编113001
    值班室:024-66530504
    新上任所长解伦13842345110
    教导员邹成武15504931880
    副所长原长伟13842368078
    副所长臧建茂15504931810
    狱警郑松军13941386966
    狱警于文阁18641361500
    狱警杨玉宝15504931886
    狱警田可剑15504931885
    狱警毕力伟13050111028
    狱警王绍平13504130708
    狱警张富昌13342136070
    狱警李家琪13841391930
    狱警董永13842314299、15504931791
    狱警李铎15504931870、644435
    狱警龚昊15504931891
    狱警唐健15504931872
    内勤腾鹏飞15504931790
    内勤杨东北13941369717
    内勤王晓飞13514137030
    内勤王昊13841308027
    内勤徐硕15504931873

    辽宁省抚顺市公安局:
    地址:辽宁省抚顺市顺城区临江路东段,邮编113006
    局长孟祥斌
    常务副局长孙得胜024-52625821
    副局长杨文君15941388787、024-52625821(主管迫害)
    国保支队:
    彭越(策划绑架负责人)13841334590、024-52787387
    副科长魏振兴13841301212

    抚顺市政法委:
    地址:抚顺市新抚区永安路21号,邮编113008
    办公室:0245-2625733传真0245-2650289
    书记姜群大13704934966
    副书记郭峰13009259338(主管迫害法轮功)
    常务副书记阎茂龙13904130199
    副书记肇英顺01067629、4162886218、13801102999

    <英文版: http://en.minghui.org/html/articles/2019/2/26/175965.html>


    长沙铁路公安分局国保绑架构陷韩学志

    【明慧网二零一九年二月二十四日】(明慧网通讯员湖南报道)长沙市法轮功学员韩学志被绑架、非法关押三个多月,目前被非法关在长沙铁路看守所。韩学志一直拒绝承认有罪,拒绝任何签字,对他们的提审不予理睬。构陷他的所谓案件可能会在两星期左右送长沙法院。

    韩学志(河北籍)2018年11月1日在长沙公司上班时间被广州铁路集团长沙铁路公安分局国保秘密绑架,并于下午非法刑事拘留。11月2日上午,长沙国保大队和衡山县公安局来到韩学志岳父母家中抢劫私人财物,家中师父法像、大法书和电脑收走,并将他岳父和妻子带到当地公安局问话,到下午4点才放回家中,同时将他岳父钥匙收走,趁其不备偷偷拿到南岳区山上的乡下房子里搜查。

    11月5日,家属花钱请来长沙知名刑辩律师彭方顺为法轮功学员韩学志提出保释申请被拒,公安警察还不许律师会见,声称要见只能在他们提审完以后再见。

    韩学志因为挂念家中刚动完脑部手术的母亲,多次申请打电话为家中母亲报个平安,警察都以手机没信号为由拒绝。

    11月30日下午,构陷韩学志的案件被交到检察院批捕科。12月6日彭律师告知家属准备3万元钱,等不批捕的文件下来,交了公安钱就可以领人回去。12月7日检察院批捕科的科长签字不报批捕,后被突然赶来的检察院检察长拦下签字非法批准逮捕。

    12月25日,长沙国保副队长苏春陵和国保彭家浩来到衡山县韩学志家中,对他岳父进行询问,同时要去正在上班的他妻子公司找人,后电话联系其回到家中带到附近公安局。苏春陵详细告知他妻子案件经过是:2018年8月,法轮功学员彭颂伟在长沙火车站候车室用手机和路由器发布移动热点,劝退党被人举报后被长沙铁路公安抓捕,声称彭颂伟供出是韩学志为他制作和提供设备。

    苏春陵吓唬家属说这个案子可大了,是1949年以来全国铁路首例。走的时候留下韩学志妻子电话号码,12月26日苏春陵加了韩学志妻子微信,以支付彭方顺律师费6万太贵为由,劝她取消律师委托,并每天对韩学志妻子微信骚扰,每次提审韩学志之前都事先联系他妻子,问她有什么话要对丈夫说,还会发在受审时的照片给她看,欺骗她说她丈夫在哭在后悔。

    2019年1月22日,构陷案件再次交到检察院公诉科,彭律师去公诉科与办案人员沟通一下午,他们劝律师不要触高压线,之前长沙有为法轮功学员做无罪辩护的律师被停业一年。并让律师去看守所劝韩学志认罪,争取判个缓刑。律师此时再次提出保释,他们以法轮功学员彭颂伟案与之并案,彭颂伟已被保释,韩学志有窜供嫌疑为由拒绝保释。

    彭颂伟今年71岁,住在衡阳市衡山县两路口,1996年修炼法轮大法后,烟、酒都戒掉了,各种疾病也全好了,脾气性格都变温和了。他按照“真、善、忍”标准要求自己做好人,在单位里领导也经常表扬他是一位好员工。2018年8月7日在长沙火车站附近劝三退时,被不明真相的人诬告,被车站派出所绑架,警察破三道门非法抄家、抢劫。彭颂伟被非法关押在长沙铁路看守所。

    长沙铁路检察院公诉科
    王威 0734-82634058
    案管中心 0734-82635048
    彭方顺(律师)此人怕事 13507346296, 18908486386
    长沙铁路公安局国保大队
    苏春陵(国保副队长)此人相当邪恶,阴险狡诈,手段卑鄙,恐吓威胁律师 18670360959
    彭家浩(办案警察) 18673112483
    何队长(国保队长) 13875801555

    <英文版: http://en.minghui.org/html/articles/2019/2/27/175977.html>


    吉林省珲春市六旬残疾妇女被关押 亲人呼吁释放

    【明慧网二零一九年二月二十四日】(明慧网通讯员吉林报道)吉林省珲春市法轮功学员张俊玲,三级残疾(左小腿截肢),在二零一九年二月十四日(大年初十)被珲春市国保警察绑架,非法关押在珲春市拘留所。家人多次去拘留所探视,被拘留所人员拒绝,说炼法轮功的不能探视,得有公安局批准,并只能存衣物、不能存钱。

    张俊玲
    张俊玲

    按照国家规定,身体残疾者不适合关押。可珲春市公安局国保大队人员不但非法关押张俊玲,还不准家属探视。

    亲人们担心张俊玲身体状况,特别是左腿穿假肢,每天晚上脱下假肢后得用温水洗净残肢处,涂上润肤霜保养(她的残肢曾做过二次手术)。在拘留所里面没有这条件,她的情况又一概不知,亲人们非常担心、牵挂,她的丈夫一人在家,身患半身不遂,整天发愁,精神不振,吃不下饭。

    张俊玲女士早在一九八一年五月十五日被火车碰伤,左小腿截肢(三级残废),多年来身体患腰椎间盘突出、冠心病、胆结石、肾积水、肝胆管结石等近二十种疾病。特别是后背痛(因一支腿是假肢身体的重心都侧向左侧,腰椎都变形了)晚上背痛的不能睡觉,真的是苦不堪言。二零零七年又得了乳腺癌,右侧乳房全部切除,刀口一尺多长。出院后开始修炼法轮功,不到一个月的时间,折磨她的二十多年的疾病不翼而飞,无病一身轻的她一家人生活的快乐、幸福。

    法轮大法让她有了健康身体,她只想让更多的人受益,告诉人们法轮大法好!却多次遭到当地警察、“610”人员的绑架、骚扰。二零一七年十月八日上午十点多,当时张俊玲家中正在装修,门开着,珲春三派出所警察两人(穿警服)闯进屋内,非法搜查后绑架了她,傍晚送去拘留所。因张俊玲血压高、心肌缺血、冠心病等症状,拘留所拒收回家。

    二零一八年,“610”和社区人员多次打电话或到家中骚扰,使张俊玲家人不能安稳的生活。张俊玲的丈夫患有半身不遂,需她精心照料,每次中共人员去家中骚扰,他都受到精神打击,几天内不能恢复。

    二零一九年二月十四日(大年初十),张俊玲女士在街头告诉人们修炼法轮大法的殊胜和美好,愿天下有缘人得福受益,被珲春市公安局、珲春市国保大队人员绑架、入室抢劫,非法关押在珲春市拘留所。

    珲春市公安局国保所谓“办案人”,不敢告诉家属自己叫什么名字。张俊玲身体有什么问题谁能负责呢?张俊玲的亲人们希望办案单位立即释放张俊玲回家。


    山东省东营市七旬朱永平被构陷到检察院

    【明慧网二零一九年二月二十四日】(明慧网通讯员山东报道)二零一八年十月十九日上午,正在集市上做生意的东营市广饶县法轮功学员朱永平被当地警察绑架,非法关押在广饶县看守所内至今已经九十多天了。现得知,朱永平已被构陷到检察院。

    朱永平今年七十多岁了,家住山东省东营市广饶县锦湖D区,是一九九八年七月开始修炼法轮功的老学员,祖祖辈辈居住的村子和耕地被征迁后,住进小区,他便以赶大集掌鞋、配钥匙赚钱为生。又因他学炼法轮功,谨遵真、善、忍做人,加上他还有着一米九以上的高高的个子,周边十里八乡的人们大多都知道、认识他。

    每逢大集,一些民众都会凑上前和他唠嗑,或向他请份大法真相资料回去看看,有很多人身心都受了益。众乡亲都知道学炼法轮功的朱老汉是一个祥和、慈善且易亲近的大好人。

    自从朱永平被绑架关押后,人们因见不到他来赶集而感到诧异,凡是闻听到他被公安局绑架关押后的人都为他抱不平,有的还气愤的说:“这公安好坏不分,迫害这么老实的人,早晚遭天惩。”有的还找到法轮功学员,要求一定想办法制止公安恶警迫害朱老汉,祈望朱老汉早日平安回到家中。

    附(相关电话名址):山东省东营市广饶县检察院地址:
    山东省东营市广饶县迎宾路208号
    办公室电话:0546-6441392
    邮政编码:257300

    山东省东营市广饶县检察院党组书记、检察长崔汉刚 0546-6441160
    山东省东营市广饶县检察院办公室 主任马双海 0546-6441392
    山东省东营市广饶县检察院政工科 科长(党组成员)崔云建
    山东省东营市广饶县检察院案件管理部(加挂控告申诉检察部牌子) 负责人聂连斌 0546-6442000
    山东省东营市广饶县检察院公益诉讼和民事行政检察部 负责人吴俊东 0546-6447000
    山东省东营市广饶县检察院职务犯罪检察部 负责人刘欣兵 0546-6441214
    山东省东营市广饶县检察院刑事检察部 负责人张志光 0546-6444737

    山东省东营市广饶县检察院副检察长办公室 0546-6456553
    山东省东营市广饶县检察院副检察长办公室 0546-6456591
    山东省东营市广饶县检察院副检察长办公室 0546-6442546
    山东省东营市广饶县检察院副检察长办公室 0546-6445394
    山东省东营市广饶县检察院副检察长办公室 0546-6442924

    山东省东营市广饶县检察院驻广饶县看守所检察官张荣贵

    山东省东营市广饶县看守所地址:
    山东省东营市广饶县广饶街道北花园村(向北100米)
    所长办公室电话:0546-6564208
    邮政编码:257300

    山东省东营市广饶县法院地址:
    山东省东营市广饶县迎宾路399号
    办公室电话:0546-12368
    邮政编码:257300

    山东省东营市广饶县政法委书记陶家孟办公室 0546-6445195
    山东省东营市广饶县政法委副书记赵长宏办公室 0546-6453416
    山东省东营市广饶县政法委主任科员张廷亮办公室 0546-6441418
    山东省东营市广饶县政法委综合治理办公室(兼举报电话) 0546-6441418、6447756、6441502、13954610000

    山东省东营市广饶县610办公室(反X办) 0546-6926100
    山东省东营市广饶县610(反X办)办公室主任张志锋 0546-6440185

    山东省东营市广饶县公安局办公室 0546-6442727
    山东省东营市广饶县公安局举报电话 0546-6456789

    山东省东营市广饶县公安局国安科办公室 0546-6925805
    山东省东营市广饶县公安局国安科办公室副主任朱晓栋办公室 0546-6925805

    山东省东营市广饶县公安局国保大队办公室 0546-6563918
    山东省东营市广饶县公安局国保大队大队长朱学玉 0546-6563958、18706665263、13515463166
    山东省东营市广饶县公安局国保大队副大队长李建强办公室 0546-6563918、13561075117
    山东省东营市广饶县公安局国保大队教导员王翠宝办公室 0546-6563918、18706665259、13906473806 山东省东营市广饶县公安局国保大队警察周静办公室 0546-6563918、18706665261、15905466996 山东省东营市广饶县公安局国保大队警察孙朋杰办公室 0546-6563918、15205469691

    山东省东营市广饶县公安局治安大队电子邮箱 guangraozhian@126.com
    山东省东营市广饶县公安局治安监控维护监督办公室 0546-6563912

    山东省东营市广饶县广饶街道派出所所长办公室 0546-6564006
    山东省东营市广饶县广饶街道派出所办公室 0546-6564003
    山东省东营市广饶县广饶街道派出所24小时值班电话 0546-6564001

    山东省东营市广饶县广饶街道综治办主任徐飞岭办公室 0546-6453148


    诚念“法轮大法好” 八旬老人骨折16天愈合(图)

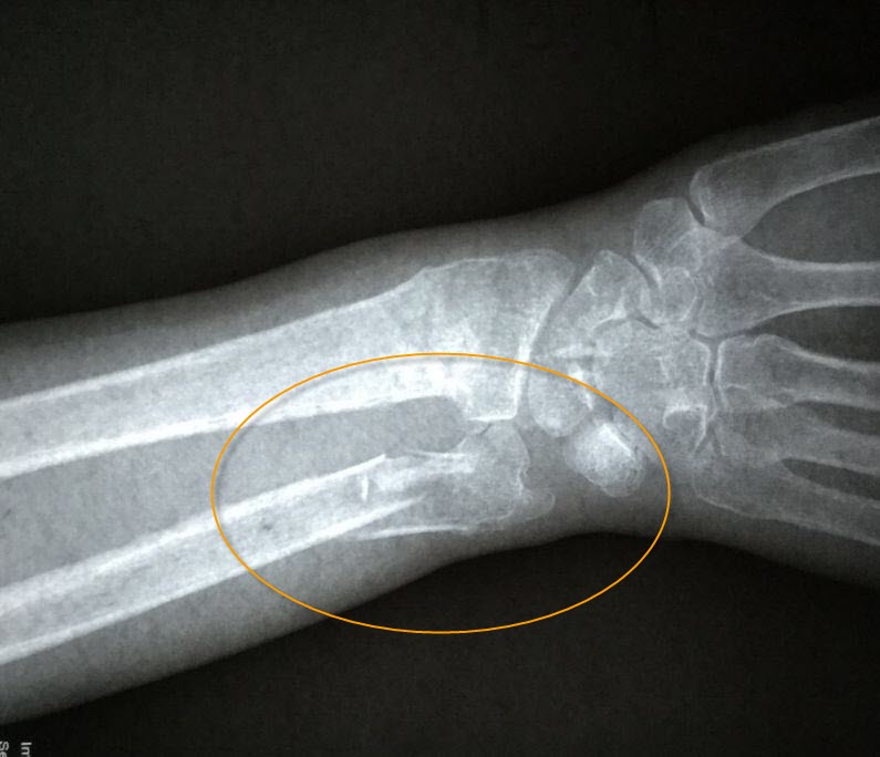
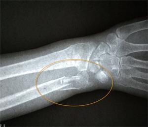
    【明慧网二零一九年二月二十四日】〖大陆来稿〗二零一九年一月二十八日上午十时许,现年八十三周岁的北京市民善珍奶奶(化名)在家中客厅穿衣时,不慎摔倒,右手腕部戳在餐桌一角,很疼痛。当时家人将老人送至就近医院检查,拍片结果显示如图1。检查报告单中描述为:右侧桡骨、尺骨远段可见骨质断裂,骨折端掌侧成角,远折端背侧移位(图2)。

    '图1'
    图1

    '图2'
    图2

    医生看了片子说:“年轻人必须要做手术,否则骨头长不好,但是老人年纪大了,做不做手术,由家里人做决定。”

    见到检查结果,家人很着急,考虑到老人的年纪,立即将老人转往北京积水潭医院(三甲公立医院,除西医各类骨科外还含中医正骨科)。积水潭医院的医生也建议动手术。

    老人的儿子和其他家人商议并经老人同意后,决定采取保守治疗,由医生正骨后打上石膏固定,然后就带老人回了家。

    二月十三日,老人在积水潭医院复查拍片时,医生发现老人骨折处竟基本长愈,如图3。医生表示:老人家这个年纪了,一般都骨质疏松,半个月的时间,要想愈合到这种程度,就是年轻人,也是不容易的。并且说:老人的恢复情况确实很好。

    '图3'
    图3

    老人及家人看到底片,都很开心,连说“没想到”、“真是奇迹”。

    善珍奶奶至今,学习法轮大法两个多月,每天听李洪志大师的讲法录音,越听越喜欢。这次骨折的整个过程中,由摔倒后,直至打石膏完成回家,老人家都在心里诚心诚意念着“法轮大法好,真善忍好”。同时在身体的感受上,也没有疼痛难受的状况,“一点都不疼”。当时老人摔在地上是自己爬起来的,后来家人问老人心里怎么想,老人说,师父说了,修炼人有师父保护,不会有问题。

    接骨后老人回到家,一些热心的法轮大法修炼者前来看望,并主动和老人一同学法、炼功,善珍奶奶非常高兴。老人说:“是大法师父的慈悲保护与能量加持,我的断骨十六天就好了。”

    老人的儿子是一位法轮功修炼者,老人亲眼见到自己孩子的整个修炼过程,知道修炼法轮功的都是善良人,对于法轮功学员被邪党迫害,她很同情。她因没有文化,过去只是断断续续的听过师父的讲法,但每次老人都是很用心听。

    善珍奶奶认为,做人就应该按照师父教导的“真、善、忍”的原则,不断净化自己的心灵,这样的生命就能越来越感受到法轮大法的慈悲与美好。

    <英文版: http://en.minghui.org/html/articles/2019/3/25/176261.html>


    湖南郴州市政法委书记刘志伟遭恶报落马

    【明慧网二零一九年二月二十四日】(明慧网通讯员湖南报道)据二零一九年二月二十日湖南省消息,郴州市政法委书记刘志伟涉嫌严重违纪违法,目前正被审查和监察调查。

    政法委是中共控制公、检、法、司、国安工作的机构,在江泽民迫害法轮功后,操控着各级 “610”办公室(专门迫害法轮功的非法机构)实施迫害。

    一九六五年四月出生的刘志伟,曾任中共郴州资兴市委常委、政法委书记约一年半,二零一六年九月至今任中共郴州市委常委、政法委书记,对资兴市和郴州市遭受迫害的法轮功学员负有不可逃脱的罪责。

    资兴市是刘志伟仕途生涯的一个重要起点,也是其罪恶的源头。二零零零一月,刘志伟任资兴市委常委、政法委书记。

    一九九九年七月二十日,江泽民利用手中的权力对法轮功发动迫害后,善良的法轮功学员源源不断地从全国各地来到北京,到信访局等政府部门,反映真实情况,为法轮功鸣冤。大批法轮功学员在北京被抓捕、关押、刑讯逼供、酷刑折磨。之后,大量法轮功学员被遣送回当地。

    二零零零年新年,资兴市法轮功学员贺雪兆去北京上访为法轮功讨公道,在武汉被警察截回,后被非法劳教一年,先被关押在郴州劳教所,后被劫持非法关押在长沙新开铺劳教所遭受酷刑折磨,比如:上抻床、穿约束衣、戴钢盔帽子、手铐、被关禁闭、灌食、捆绑在死人床上四昼夜等等。而且,贺雪兆还被长沙新开铺劳教所无故延期半年多放回家。除了贺雪兆,还有资兴市法轮功学员刘解生、李林芬、杨芳等法轮功学员,或因坚持信仰法轮功,或因散发法轮功真相资料,或因喷刷法轮功真相标语,而被警察绑架。有的被关入洗脑班;有的被非法拘留,有的被非法劳教,有的甚至被非法判刑。

    刘志伟正是当时中共资兴市委常委、政法委书记,任职一年半后调离升迁。二零一六年九月,刘志伟爬上了其仕途的顶峰,担任郴州市委常委、政法委书记。然而,刘志伟也为自己日后的锒铛入狱埋下了重要的人生伏笔。

    刘志伟担任中共郴州市委常委、政法委书记仅一个多月的时间,郴州市政法委操控下的市610就不遗余力地在宣传机构对法轮功进行污蔑宣传并绑架法轮功学员。二零一六年十月三十一日,《郴州日报》第二版要闻版刊登了污蔑法轮功以及法轮功创始人的不实消息。十一月十四日早上,郴州市二十几位法轮功学员找到了郴州市委610办公室、五岭广场市政府内的政法委、信访办、报社讲法轮功真相以及要求澄清事实。法轮功学员平和理性反映合法诉求的善举却遭到了警察的一系列不公正对待,包括摄像、非法拘留等。

    据明慧网消息,刘志伟主管郴州市政法委期间,有三名法轮功学员被非法判刑。黄小芬二零一七年被非法判刑三年;廖志军二零一七年被冤判四年并以罚金的形式勒索一万元;廖松林二零一七年被枉判三年。

    由郴州市“610”办开设的非法监禁法轮功学员的洗脑班,二零一七年七月于郴州市龙泉路党校旁边的湘泉宾馆内开设,绑架关押胡燕平、曹巧萍、李辉、永兴县李建社、许化兆、临武县欧奇志、桂东县邓月琼等多名法轮功学员。二零一八年五月,原下楣桥(新泉)派出所秘密劫持囚禁的刘丙瑞、李湘黔、李建福、周慧珍等法轮功学员被洗脑迫害。

    二零一七年八月十六日,郴州市政法委书记刘志伟对临武县官方全方位、多渠道开展诽谤法轮功的活动做出进一步打击的指示。之后,同年十一月份,在武水河畔休闲公园,临武县610设计制作了污蔑诽谤法轮功的宣传牌一百二十余块;临武县南强镇油麻村委会里面设置了一个警示教育室,里面悬挂了一块警示教育的教育宣传牌,里面有污蔑法轮功的内容。

    古语云 “湛湛青天不可欺,未曾起意神先知。善恶到头终有报,只争来早与来迟。”刘志伟今日锒铛入狱的悲惨结局是其选择积极追随江氏流氓集团迫害法轮功造下的深重罪业所致。如今参与迫害法轮功之徒恶报频频出现,不光是针对遭报人本身的,更是对还在参与迫害的公检法人员的警示。

    恶报不是法轮功学员希望看到的,法轮功学员讲真相就是为了让世人明白真相,得到神佛的救度。真诚地希望郴州市的公检法人员能够明白法轮功真相,抵制执行错误的命令,制止违法的迫害,为自己的子孙后代积下深厚的福德。


    不要问本地上网的稿件是谁写的

    文/中国大陆大法弟子

    【明慧网二零一九年二月二十四日】这个事还是写出来交流一下好,就是本地同修有的事在网上发表后,总有人打听“谁写的”。不管好事坏事总有人问。问不到就猜测“可能是某某写的”。谈论这些的同修又不注意手机安全,给写稿的同修带来很大的安全隐患,逐渐的,有的人就不写了。

    就本地来说,邪恶一直把给大法媒体写稿的人作为查询重点。特别那些在明慧网上被曝光的恶警恶人,想尽一切办法查询谁把他们的丑事上了网。

    有个国保警察做了不少迫害大法弟子的事,被多次在明慧网上曝光。二零一五年诉江时,有一次,他拿着一个诉江状,找到这位实名诉江的同修问:“明慧网上那篇文章是你写的吗?”那位参与诉江的大法弟子说:“不是我写的。”警察又说:“看文章风格不象是你。我要是查出来了,非整死这人不可。”

    又一次,另一个警察问一个大法弟子:“你最近是不是在网上发表东西了?”这位大法弟子说:“没有。”警察说:“你以为我们不知道呀?我们有证据。”同修马上想起,有几次本地同修被绑架时,有同修告诉他给上网,说话时有的还带着手机。上网后大家在一起学法还议论这事,有的不修口,指名道姓说这篇文章是谁写的。警察对这个同修说:“不用你不承认,我们有证据。”可能同修带着手机谈论这事时被监听了或者录了音。

    还有个农村女同修被邪恶重判。事后有个同修说:“她常给大法媒体写稿,本人不注意安全,周围同修说话又不修口,经常带手机到她家出出进进的,结果出了事。”

    有个同修说了一件他从内部知道的事:邪恶对网上文章看的最重,有一点能查到的痕迹都不放过。比如:当文章署名具体省、市时,恶党就下令一级一级的查。本地有个同修就被查过,她是挂号的,曾给明慧写过一篇反映本地事的文章,署名是本市。不长时间国保警察就找她。当时这个同修正念很足,求师父,不承认这种迫害,最后化解了。

    邪恶是最怕曝光的,所以,建议大陆写文章的同修在文章内容和署名上要智慧一点,以安全为重。

    问题是,邪恶到处查文章是谁写的,是为了报复和迫害;同修也到处打听,还不顾别人的安危,你那么好事,有什么正面意义呢?有的同修不注意手机安全,说话不修口,无意中就帮了邪恶忙。

    在中国大陆,迫害还很严重,大家要有保护写文章同修的意识。谁写文章不重要,重要的是你的第一念是保护同修、更好的齐心合力,还是带着人心只管打听。是什么人心让你那么感兴趣呢?今年神韵节目中,猪八戒就是因为好奇心惹来了麻烦。此外,打听的同修虽然可能没有恶意,可也是自私不自利的,更有害于其他同修和世人。也就是说,其中掺杂的好奇心、显示心和欢喜心等等,害己害人,修炼中没小事。

    一点浅见,意在交流,恳请同修指正。


    请同修注意修去情和怨

    文/中国大陆大法弟子

    【明慧网二零一九年二月二十四日】最近当地连续有同修出现病业,这些同修自身修炼虽然都各有不足,但却有一个共同的问题,就是情和怨比较重。

    去年下半年,一对年轻夫妻同修的不到两岁的小儿子在车祸中离世,事件震惊所有同修。孩子的母亲(同修A)更是伤心,眼睛经常哭的红肿。有相当一部分同修认为,她儿子突然离世,同修A伤心是在所难免的,过几天,她就能从悲伤中走出来,平静下来,再好好找自己修炼上的不足。但是,在同修A还没有完全从丧子之痛中走出来的时候,就出现了严重的病业状态,所有内脏器官衰竭,全身浮肿,也就是她整个肉身从内到外都被旧势力在极短的时间内全部破坏掉,最终离世,而这位同修还不到四十岁。

    虽然同修A的离世有很多原因,但是她的情和怨很重。儿子离世,她被亲情控制长期沉浸在悲伤之中,又将自己儿子的离世归咎于其他同修对她儿子发出不正的念,从而对同修怀有深深的怨恨。直至她出现越来越重的病业时,她不是一心学法,而是被夫妻情控制,希望自己的丈夫同修时时刻刻陪伴在身边。虽然她个人的修炼状态、周围同修的人心及对钱的执著都是加重她病业魔难的原因,但是儿子离世、情和怨的全面爆发并整个人陷入其中,很可能是她突然出现严重病业状态以致离世的直接原因。

    一位大资料点的老年女同修B对师对法对众生的心特别的纯正,她的大资料点在师父的加持下一直顺利的运转了十几年,在当地救度众生中发挥重要的作用。她的正念正行是有目共睹的。新年期间,同修B的老伴突然离世。同修B并未因为老伴的离世表现出过多的悲伤,依然正常的在做着三件事,但是在夜深人静的时候,当老伴的形像浮现时,却可能很牵动人心,毕竟夫妻几十年。几天前,同修B突然出现脑溢血,昏迷不醒,被家人送進了医院。在为同修B长时间发正念的过程中,突然有一念浮现在脑海中,她是被亲情带动,从而被旧势力下手迫害。由此会想到一些细节,比如同修B作为协调人在大组交流时一直随身带着手机,理由是担心老伴随时会打电话找她。其他同修为了整体的安全多次与B交流,她都放不下。写到这里要强调一点,千万要理性对待所有的人和事。比如和情有关的事,浮上脑海时如果不能及时排除,还随着去回忆,对于修炼人来说可能招致致命的危险。

    我们当地还有一对中年夫妻同修,男同修C在跟一位外地女同修D结婚后,对妻子的情非常的重,女同修D却对他比较淡漠,致使同修C由浓浓的情转为深深的怨。甚至为了能够带动D的心,以自己不学法不炼功相要挟,最终C真的掉下去了。由此可见,情和怨如果不修去,完全可以彻底毁掉一个修炼人。

    写到这里,突然想起去年年初病业离世的另一位老年同修E。E同修虽然文化程度不高,学法读书很吃力,但是对于修炼还是比较重视,也天天参加集体学法,总有三退名单,三件事一直做的比较稳健。后来老伴突然离世,同修E出现严重病业状态。后来听说,同修E在老伴离世后,经常觉的空落落的,希望儿女能时常回来陪自己说说话,有时寂寞了就到楼下找常人聊天。其实当自己感觉空落落时,就应该意识到自己的夫妻之情,并修去它,但可惜的是,这位同修病业中没能及时找到心性原因并归正自己。当儿女不愿意陪伴照顾自己时,又对儿女生出了强烈的怨恨之心。E的妹妹也是同修,E的妹妹由于家中有孙子照顾,也没有做到天天陪同修E学法,同修E又对妹妹生出了强烈的怨恨之心。最终在情和怨中被旧势力拖走了肉身。

    同修G是一位老年女大法弟子,很会向内修自己,讲真相也做的很好,在多次被绑架中,都能正念闯出,平时不张扬,不显示,默默无闻的修自己。但是在临近新年被绑架时,却正念不足,一定程度上配合了邪恶。同修G性格内向,生活圈子就是丈夫和孩子,在跟同修G交流中,她三句不离丈夫,对丈夫有诸多怨言,她也意识到怨恨是对丈夫的情引起的,却总是拖泥带水,这边刚排斥完,那边又怨上了。对于修去情和怨也是只想去执著心的表面,不想从根本上放弃,没有想到自己是大法弟子,无论丈夫对自己的好是真心还是假意,都不是自己应该执著的,而且还要真心的慈悲对待他。在情和怨的纠缠下,再加上困魔的干扰,在一次睡了一觉,又没发正念的情况下,出去贴不干胶,被旧势力钻空子绑架迫害。

    所以,修炼人不从内心放下长期执著不放的情和怨是很危险的。

    上述情和怨的表现,也是自己最近才深刻认识到的。有很长一段时间,梦中老是过关,对方是自己曾经很喜欢的一个人,最后又被其耍了。每次梦中,我都知道自己是修炼人,没有发生那种事情,觉的自己色关过去了,但是却总是做同样的梦,梦中除了情,还总是质问对方为什么要欺骗我?这种梦做的多了,就意识到可能不是色关,但是又说不出个所以然来。随之是修炼状态下滑,也常常犯困,甚至发正念时睡着了,我就想一定是空间场的邪恶太多,有一次连续发了两三个小时的正念后,思想变的非常清晰,在早上打坐的时候,突然发现自己很深的情和怨,原来那个梦根本不是在考验自己色欲心是否放下,而是在考验自己情和怨是否修的干净呀!虽然我平时好象对从前的事情早没有怨恨心,也不再有情,但是我梦中却完全没有过关。我意识到自己很深的情和怨的根子象顽石一样隐藏在内心深处,非常的危险。由此才突然认识到最近同修中出现的病业,很多都与情和怨有关。

    情和怨除了个人修炼中的表现,在同修间也体现出很强的同修情和同修间的怨。比如有的同修长期跟哪位同修配合,突然跟自己长期配合的同修由于种种原因远离了自己,就对相关的同修产生了很深的怨。其实这种怨的产生是自己长期没有重视的同修情导致的。修炼人遇到的任何事情都不是偶然的,都与自己的修炼有关系,当跟自己长期配合的同修突然远离了自己,这时应该向内找,自己是不是已经产生了同修情,或者有依赖心了?是不是师父在利用这个机会去自己的这些心?但是,往往很多同修不会实修自己,遇到事情就向外看,不仅产生怨恨,还在同修间制造了不小的间隔。这种同修情和怨恨心导致心性下滑,如果长期认识不到,也使自己处于危险之中。

    本文只是为了写清情和怨的表现,并非是针对哪位同修,如果有言辞不当的地方,还请相关同修原谅,请同修慈悲指正。

    <英文版: http://en.minghui.org/html/articles/2019/3/15/176155.html>


    师父治好了让我生不如死的牛皮癣

    文/黑龙江省大法弟子的孩子

    【明慧网二零一九年二月二十四日】二零一八年十一月中旬的一天,我由于感冒发烧、扁桃体发炎,诱发了严重的爆发性牛皮癣,这在医学上是非常难治愈的一种疾病。

    发病期间,我真的是体无完肤,皮肤又疼又痒,严重的脱皮,个别地方还出脓,腿肿得象面包,不敢走路,晚上不能入睡。使用了各种中、西药,血疗、蓝光照射,都无明显好转,反而越治越严重。这让我在身体上、精神上非常痛苦,一直阳光的我,心情糟到极限,真的是生不如死,折磨得我失去了活下去的勇气。

    妈妈是修法轮大法的,爸爸没有学,但对大法非常认同。每一个无法入睡的夜晚,爸爸、妈妈都陪着我,为我读师父讲法。在我无望中,妈妈和妈妈的同修告诉我:“只有大法师父可以救你。”

    在这期间,爸爸、妈妈劝我也学大法,把我交给了大法师父。就这样,我尝试着开始跟妈妈和妈妈的同修断断续续的学法、炼功,在所有的治疗方法都无效的情况下,通过学炼法轮功,渐渐的皮肤不那么痒、痛了,两个多月后,皮肤全好了,只是患处有些暗沉。在医学上,这么短时间内是无法解决的。我真的重生了!

    用尽世间所有的语言也表达不了我对师父的感恩,我知道师父您一定为我承受了很多。虽然我现在没有完全走入大法修炼,但我会按师父您的大法法理指引自己前行的路。

    在这里我和爸爸、妈妈再次感恩师父、感恩大法!我要告诉所有世人我们见证了大法的神奇与超常!

    <英文版: http://en.minghui.org/html/articles/2019/3/14/176148.html>


    “这书怎么写的这么好?”

    文/大陆大法弟子

    【明慧网二零一九年二月二十四日】我来说说我的妻子是怎样从一个无神论者走進法轮大法修炼中来的。

    妻子从小受无神论的毒害,什么都不信,她的人生观是不受任何事物约束自己,潇洒走一生。

    我修炼法轮大法后,身体上的慢性病都好了,感到法轮大法真神奇,就对妻子说:“法轮功神奇,你也炼吧。”她说:“我可不让约束,不炼。”那时她对我修炼法轮功既不反对也不支持。

    但邪党打压的厉害了,我的亲人们都怕我被迫害,鼓动妻子和我吵架。这样有时妻子用头撞墙说:“你炼功我就撞死。”有时妻子睡在地上不搭理我。后来她把我的大法书藏起来了,并撕毁了我抄写的经文。我有点急了,说:“你不要做傻事,会有报应的。”她气愤的说:“世上就没有神佛,我也不怕报应,如有报应就报应我吧。”

    妻子时常喊报应她,喊到大概第三年,我们家就不顺了。回家过年骑的摩托车前后轮胎一起爆胎,从此摩托车一个多月大修了四、五次 ,我家的水管在地下不知跑了多少水,妻子差不多每天早上醒来都说做的梦不好。一天妻子早上醒来说,她梦见楼上掉下来的杏砸到了她的后背上,这不是背兴(土话意思是走霉运)吗?

    第二天下午,妻子骑摩托车一出门就和大车撞上了。 妻子满脸是血,浑身发抖。送医院时我搂着她说:“以后可不要说报应自己了,快念‘法轮大法好’,师父能管好你。”妻子当时不知是怕,还是在危难中信我,念了三遍“法轮大法好”。她的胳膊断了一根骨头,额头缝了好几针,晚上麻药劲儿过后,她没有感到怎么痛。我对她说:“这真是奇迹,出车祸的哪有不痛的,师父管你了。”她“嗯”了一声。伤好后,妻子感慨的说:“世界上真是有吗(意思是真有人看不到的东西)?”

    妻子出车祸前常做不好的梦,现在不做噩梦了。从此后她再也不说报应自己了。我对她说:“老天爷真是对你不薄,现在有许多人坏事做的多了,报应来了,死了都不知道有报应,有神佛。而你出了那么大的车祸,没少胳膊没少腿的,脸上多了点疤,却明白了一件事 ,必有后福。”

    但是妻子好了伤疤忘了疼,她还认为法轮功不好,她时常约束我不要和别人说法轮功,一次我去同修家回来有点晚,她把《转法轮》烧了,脾气越来越大。之后她的心脏开始不舒服。到医院一查是得了心脏病。我知道得了心脏病没有几个能好的,大多早早去世了。我劝她炼法轮功。她说:“不炼,我不能被约束,现在医学这么发达,吃一年的药还能好不了?”我的表哥是位名医,她就去找我的表哥看病。

    头一年,一个月就拿十几块钱的药,到了第二年,妻子心脏病越来越严重,什么工作都不能做了,家务活也不想做。她去找表哥给她开点特效药,心想吃了就能好的那种。一个月三、四百元的药就这样顶着。到了第三年,妻子吃药就象吃毒药一样,药刺激着胃受不了。不吃药心脏就跳的受不了,苦不堪言。一天晚上她感觉没了空气一样喘不上气来,那种感觉象是快要死了,她害怕了。

    亲戚、朋友、同修都劝她炼法轮功,她也感到没有其它的出路了,就对我说:“炼功我还得吃药。”我说:“师父没说不让你吃药,炼吧。”

    开始她只炼一、三、四套功法。炼了三天,她就说心脏跳的正常了,心里很好受,不用吃药受罪了。我说:“那你受益了,看书学法吧。”她说:“我先炼着功,以后再看书吧。”我知道她心里是怕书中的事约束她,她不想被约束。

    炼了大概有半个月的时候,妻子给欠我们一千元的客户打电话要钱,那个客户说就给五百,爱要不要,不要拉倒。说的话特不入耳。妻子当时就气红了眼,心里难受极了。我赶紧找那个人要了钱,还真就只给了五百。回来跟她说算是两清了,但她就是生气。因心脏病怕惊吓、怕累着,最怕的就是生气,一生气药量就得加大。我的心里七上八下的。第二天,妻子醒后很兴奋的说:“我梦到佛了,佛闪着金光,非常清晰。”我说:“你真与佛有缘,好事,那你现在的心脏怎样?”她说什么事都没有。我说:“那你好好炼功,把书看了更好。”她还是说以后再说。

    大约又过了半月,妻子认为我做了错事,生气的说:“不炼了,你没做好。”我说:“我没做好我改,可你炼功炼好了病,别不炼。”她说:“我的病不是炼好的,是我净吃好药,药效上来了就好了。”我无语了。

    一个月后,妻子的心脏又不正常了。她想想没有别的出路,只有炼功。我说:“这回你可得真修炼啊,大法书你得看,五套功法全得炼,不然你这么反复,师父不一定管你。”她说行。晚上我们一起炼第二套功法时,我的心里很担心,刚开始炼第二套功法是很费力的,心脏病怕累着,她会不会瘫在地上?我担心的把功法炼完,妻子立刻激动的说:“这回我可真正的相信法轮功了,我坚持不住时想,死也得炼,突然感到一下轻松了,很美妙,两个胳膊轻松的抱着一个球,我的思想在球上畅游,我从来没有遇到这么美妙的事!”

    第二天。妻子开始看大法书,前七十页她有点看不懂,但以后师父的话句句入心。她连看了三遍,边看边说:“这书怎么写的这么好?你怎么不让我早点看?”我太诧异了。以后她的表现更是让我感到象是在做梦。

    从那时起,妻子的病全好了,至今已经六年没有吃过一次药,现在每月工资是四千多元。她的脾气也变了,以前我们的两个小孩子都不愿理她,现在都愿意和她聊天儿了。以前我们做买卖進货时,她总是抱怨人家这样那样,时不时的跟人家吵一架,现在买菜时不再挑拣,卖菜的说她怎么这么好。

    妻子开始反思:“难道以前做错了?”我说:“人之初性本善,随着长大,社会的污染,尤其今天全民道德下滑,人们只顾自己,以这种思想做事,伤害他人,人人也在受伤害,其实人人被这种后天社会观念约束着。现在你通过法轮大法找回真正善良的自己,才会拥有美好的人生。”现在我们俩经常一起证实法,妻子每次都会有美好的感悟。

    经过妻子这件事,我能更好的和迷途中的人们讲清真相了,现在的人受无神论的蛊惑,非常多的人敢恶狠狠的骂天骂地、骂神佛,以前我感到震惊,不知怎么说,现在碰到这样的事我就会说:你怎么和我的妻子以前一样?然后将妻子的故事讲给对方。我感到听我讲这故事的人没有了天不怕地不怕的这种恶念了。

    法轮功给我们全家带来了健康快乐。可是在中国还有许多不明真相的人们,他们听信了邪党谎言,对有百利而无一害的法轮功却是反对与仇恨。但是大法师父无量的慈悲,无论人对大法怎么误解,只要你还有一点善念,哪怕你以试试的心理,师父都会牵紧你的手帮你走出魔难,走回美好的家园。

    <英文版: http://en.minghui.org/html/articles/2019/4/4/176375.html>


    从新修大法 身体健康 心性提高

    文/中国大陆大法弟子

    【明慧网二零一九年二月二十四日】一九九七年经过朋友介绍,我得到了宝书《转法轮》,可我才刚看了一遍,一九九九年七月,中共邪党就开始疯狂打压法轮功,我不敢炼了,把《转法轮》这本宝书藏了起来。后来我的身体越来越不好,出现了各种状态,如颈椎病、心脏病、胆囊炎、肝血管瘤、乳腺增生、肛裂,平时腰疼腿肿,大病没有,小病不断,整天吃药也不管用。

    二零零七年九月的一天,突然我又想起法轮功来了,就去找给我《转法轮》书的那位朋友,见到她,我说:“我还想接着炼法轮功,你再教教我炼功吧。”朋友说:“行。”就这样我又从新走回大法中来,真正开始修炼了。

    在学法炼功不长时间,我的疾病渐渐消失,我高兴无比,我知道这都是慈悲伟大的师尊替我承受了痛苦,把我的身体给净化了,让我无病一身轻,我万分感谢师尊的慈悲苦度。

    在我的修炼路上,干扰也是不少,尤其是我的家人。儿子大学期间处了个女朋友,就是我现在的儿媳妇。当时我没嘱咐儿子把我修炼的事告诉她。他们结婚的时候还没房子,与我们一起住,我有时看完大法书或给师尊敬香后忘记收起来,儿媳看见了就跟儿子叨叨,说不喜欢我炼法轮功,但一直没有当我面说。直到儿媳在医院生孩子期间,不管我怎么做都不对她的心,也不让我抱小孙女。到了儿媳妇出院的前一天晚上,她跟我说:“妈,你别炼那个了,你要不收起来我就不回你家。”我知道她是指师尊的法像,当时我心里腾的一下,心想原来是因为我炼功她才不高兴的。那时因为学法少,不知道敬师敬法的严肃性,就随口答应她了。看她还在月子里,也没说啥,但一气之下,跑回了家。

    丈夫一看我半夜回家了,就问我怎么回事,我就从头到尾说了一遍,丈夫听后,就急了,丈夫是常人,他说儿媳妇刚進家门就管起我家的事来了?太早了点!丈夫对我说别听她的,只要对你有好处该炼就炼,明天一早你就别去医院了,我去。

    天亮了丈夫直接去了医院。丈夫走后我把昨天发生的事回忆了一遍,我知道发生的任何事都不是无缘无故的,这时想起师尊讲的法:“为什么遇到这些问题?都是你自己欠下的业力造成的,我们已经给你消下去无数无数份了。只剩下那么一点儿分在各个层次之中,为提高你的心性,设的一些魔炼人心、去各种执著心的魔难。这都是你自己的难,我们为了提高你的心性而利用了它,都能让你过的去。只要你提高心性,就能过的去,就怕你自己不想过,想过就能过的去。所以今后遇到矛盾的时候,你不要把它看成是偶然的。因为矛盾产生的时候,会突然间出现,可是却不是偶然存在的,那是为了提高你的心性的。你只要把你当作炼功人,你就能够把它处理好。”[1]

    师尊讲的高深法理点醒了我,让我知道了这是给我提高心性的,这回心里敞亮了,气也消了。

    丈夫到了医院,儿媳妇一看老公公来了就哭了,丈夫说你别哭,有话慢慢说。这时亲家母说她女儿不想去婆家坐月子,想回娘家,在我丈夫的劝说下儿媳妇出院后还是回我家了,亲家母不放心,怕我生气把事情闹大了,就叫上儿媳妇的叔叔婶婶一起来我家。她们看我和没发生过什么事一样,照样热情的招待他们。亲家母就高兴的和我唠起来了。亲家母说她们以为我生气了,我说生啥气,咱们哪能跟孩子一般见识,我告诉你们是因为我炼法轮功,我们师父教我们“打不还手,骂不还口”[2],不管在哪里都得做个好人,与人为善,和人有矛盾要找自己的原因,不能向外找,何况我们还是一家人呢。我和亲家母说,你放心我会好好待你女儿的,她笑着说我放心。

    儿媳在坐月子期间,给她做啥,她都不吃,荤腥不吃,只吃点粥,有时候端起碗来就哭了,我看儿媳妇这样,真不知道该咋办才好。我没有对她产生怨,总想方设法的让她开心,给她做好吃的,主动的找机会和她说话。但不管我怎么对她好,她总是对我很冷淡,很少和我说话,就是因为我不放弃修炼法轮功。但我知道不管遇到什么魔难这次必须坚定,绝不能再失去修炼的机缘。所以修炼法轮大法一天没停,天天给师父上香。儿媳知道我还修炼,就故意找茬,我怎么做都不对,而且还挑老公公的毛病。儿子看她太不象样了,就说了她两句,这一说儿媳妇不干了,说要离婚。儿子一气之下就说离吧,你走吧。这样儿媳妇给亲家母打了电话,收拾收拾就让她妈接走了。

    临走时亲家母说我要知道你炼法轮功,这婚就不让他们结了;还说你们不用到我家去看孩子,不欢迎你们。这样我们也就没去看孩子。儿子和媳妇用电脑聊天,他们谈到了离婚问题,谈到了我的信仰。都知道大法好,但受邪党的谎言和打压的影响,怕影响自己的工作,影响自己的利益。

    我一听他俩是要真离婚。我想:家里发生这么大的事,按理说作为我们修炼人是不应该的,肯定是我修的有问题了。于是我仔细的查找自己,找出了好多执着心,为私为我、执着情、怕心、妒嫉心、求安逸心、利益心等,最主要的是怕心。儿媳嫁到我家快两年了,我一直没给她讲过大法真相,我怕儿媳不认可,怕他们小俩口产生矛盾,就是因为这个怕心影响了儿媳听真相,使她不认可大法。想想还真不是件小事。从法中明白,这世上的人都是为这个大法来的,她嫁到我家也不是偶然的,就是来听真相的。于是我跟师尊认错:“师尊,弟子错了,请师父加持弟子去掉这个怕心。弟子不要它。”

    随后我就跪在师尊的法像前求师尊帮助弟子把家庭矛盾化解了,不能让他俩离婚,我是师尊的弟子,我不能给师尊给大法抹黑,修大法的家都是和睦的,师尊的法力无边,无所不能。师尊弟子又让您操心了,谢谢师尊!

    第二天儿子和我说:妈今天我不在家吃了,我媳妇给我打电话了,让我去她家吃饭,还说你的信仰她不管了。从那天起,他俩和好了,媳妇和孩子也回来了。

    回家后,儿媳给我和我丈夫都道了歉,我说我也有责任,咱们今后都得互相理解、互相包容,有什么话敞开心扉的说出来,别藏在心里,咱们这个家才能和和睦睦。儿媳笑了。

    从此我们又是和和睦睦的一家人了。师父伟大、慈悲,感激的我不知道说什么才好。在今后的修炼中,弟子要珍惜慈悲伟大的师尊用千辛万苦延续来的时间,多学法、学好法,修好自己,做好师尊要求的三件事,多救人。

    谢谢伟大的师尊!谢谢同修的无私帮助。

    注:
    [1] 李洪志师父著作:《转法轮》
    [2] 李洪志师父著作:《悉尼法会讲法》


    听大法 植物人醒来了

    文/河北大法弟子

    【明慧网二零一九年二月二十四日】二零一三年,我开了一个玛瑙加工店,表哥夫妻俩帮我一起打理着生意。我本着师父教导我们按 “真善忍” 的法理做好人,经营着自己的小店,也结识了不少客户。

    二零一四年春天,有一位北京客户老谢租了我的门脸房,我们两家的店挨着,他自己店里加工不了的玛瑙成品就来我店里加工,我也给他特别优惠,有时他有什么困难我们也能帮就帮,大家相处也不错。但后来不知咋的,老谢把店里的工人都辞退了,自己一人经营着小店。到第二年,老谢不怎么来店里了,经常关门,有时回来开几天就又关了。

    听老谢说,他妹夫得了脑溢血,看不好就得成植物人。他开店时他妹夫也拿了不少钱给他,他回北京陪妹夫到各大医院到处看,但效果都不好,病情越来越严重。

    看到老谢愁眉不展的样子,我想和他讲大法的美好,但还是因各种人心和顾虑心,就没有和他说,也没告诉他如果相信大法他妹夫的病是能有转机的。

    再后来老谢的店就彻底关门了。房租快到期了,我让表哥给老谢打电话,他说还要租,店里还有一些玛瑙原石和几台加工的机器,说等妹夫的病好些了还要继续开,房租晚点给。

    老谢的店一关就是半年多,中途给他打电话都说还要租,我就一直给他留着没再出租。后来表哥又给老谢打电话,老谢说卖了店里的东西顶租金吧。我也没卖他店里的东西,门一直就关着,再后来就联系不上他了。

    直到二零一七年,我嫂子和我商量说把老谢的机器和玛瑙原石卖了把房子清出来租给别人吧。我同意了。没几天嫂子就给卖了两台机器一共八百元给了我。当时觉的他占我房子这么长时间,我拿这些钱是理所当然的,嫂子也这么说。

    学法时看到师父说:“人类的道德水准在大滑坡,世风日下,唯利是图,为了个人那点利益去伤害别人,你争我夺,不择手段这样干。大家想一想,能允许这样下去吗?有的人做坏事,你告诉他是在做坏事,他都不相信,他真的不相信自己是在做坏事;有些人他还用滑下来的道德水准衡量自己,认为自己比别人好,因为衡量的标准都发生了变化。不管人类的道德标准怎么变化,可是这个宇宙的特性却不会变,他是衡量好、坏人的唯一标准。那么作为一个修炼人就得按照宇宙这个特性去要求自己,不能按照常人的标准去要求自己。”[1]

    我悟到,师父教导我们做好人,做一个为着别人好的修炼人,我不应该拿这些钱,老谢估计也困难。我忽然想起有老谢微信,就试着和他联系,好长时间他没回复,我又问他店里的机器和玛瑙怎么处理,我要把房子清出来出租。到了晚上老谢回复了。他说:“老妹儿,我本想着妹夫的病好点我还过去继续开店,没想到妹夫的病越来越恶化,变成植物人了。看在咱们的交情份上,你要觉的哥可怜就把那些东西处理了,我知道也卖不了几个钱,你能给哥几个算几个,不给我也没话说,哥现在也缺钱。”

    我听了他的话,觉的他真可怜,于是我说:“我嫂子已经给卖了两台机器八百元,我先把钱给你,剩下的机器和玛瑙原石我找人处理了吧。”他没想到我会把钱给他,感激的说:“老妹儿,你真是个大善人啊!哥会记着你的好的,将来哥有机会一定会报答你的。哥现在也倒楣了,得了和妹夫一样的病了,看不好将来也可能成植物人,现在身体行动不便,一直在治疗,已经借了好多钱了。我没想到你会给我钱,我去你们那做生意没挣到钱,可认识了你,我值了。”我对他说:“不用感谢我,我只是做了我觉的应该做的,要感谢就感谢我们师父吧!是师父教导我们要做个好人,要不我也不会这样做的,现在这社会谁看到钱会不要呢?何况你占我房子这么长时间。”他说:“那你师父是谁?我也想见见师父,我也想做好人,我也想拜他为师。”他又问师父是佛家人吗?因为微信上不方便说,我就说:“等有机会告诉你。我有一本宝书,这本书是教人怎样做好人的,我每天都在看。”他说:“那我也想读这本宝书可以吗?”我说:“我给你请一本。”老谢高兴的千恩万谢的。

    嫂子陆续把老谢店里剩下的东西都卖了,有三千元,我把钱又给老谢转了过去,老谢感动的不知说什么好,微信发了好多感激的图片。嫂子知道了我把钱都给了老谢,生气的对我说:“要知道你给他钱,我也不又托人又找买家,你不知道,卖这点东西我可费了劲儿了。他占了这么长时间房子,咱们拿是应该的。”我对她说:“老谢也倒楣了,他挺可怜的。”嫂子说:“你就是菩萨心肠,看谁都可怜。”我说:“我是修炼人,师父也讲过不失不得的法理,要我们凡事都要先为他人着想,我应该按师父教我们的去做。”嫂子说:“反正我是把钱都给你了,你自己的事自己决定吧!”

    中秋节前夕,我和老谢联系好去给他送宝书《转法轮》。他说不敢让我去他家,怕惊吓到他父母(找他要账的人太多,父母因此受到惊吓)。他现在正在北京中医理疗医院看病,平时住在朋友的闲置房。

    我给老谢请好大法书,给他拿了两个播放器,装了师父在济南讲法录音和炼功音乐,《普度》、《济世》音乐。周末正好北京同修来我家。我们早上出发下午才找到老谢住的地方。我俩吃了老谢早已给准备好的面片汤,开始给他介绍大法宝书。老谢已经猜出来了,他说有位同学也修炼法轮功,迫害前期还和他讲过大法真相,但老谢受电视媒体造谣宣传,尤其是二零零一年天安门自焚伪案,深受毒害不理解,也不怎么听真相。

    我和同修進一步给他讲了大法被迫害真相,讲了自焚伪案的种种破绽,并告诉他法轮大法洪传世界一百多个国家和地区,获得国际三千多项奖项,有上亿人在修炼,只有相信大法,修炼大法,他和妹夫的病都是有治的,这种实例在法轮功里太多太多了,我自己就是其中一个,我从二十多岁就患有心脏早搏、腰肌劳损、心脑供血不足、颈椎病、经常失眠头疼,修炼了大法才使得我十多年来无病一身轻。

    我和同修又给老谢讲了为什么要三退,他问了一些疑问并爽快的做了三退。老谢说:老妹,你说什么哥都相信,你那会儿怎么不早告诉我这些呢?早告诉我也许妹夫就不会是现在这样。我抱歉的说:邪党迫害还存在,当时我也是顾虑心太多,不过现在也不晚,你给妹夫听师父讲法录音,一定会有奇迹出现的。我说,我只是按师父的要求做好人,世人都会看到,感受的到。

    我和同修抓紧时间教老谢学炼五套功法,他学的很认真,前四套动功哆哆嗦嗦的坚持一小时炼了下来,同修更是手把手的给他纠正动作,教完第五套神通加持法,老谢当时就感觉身体比之前灵活了许多。

    我们又聊了一会,老谢说:“妹夫一直住在医院,雇着特护工照顾着,一直处于昏迷状态。父母让妹妹放弃对妹夫的治疗,我自己做生意妹夫也帮了不少忙,我不忍心放弃他。现在我也得了这种病没钱看,我要卖北京的房子,可年迈的父母就是不让卖,现在我到处和朋友借钱看病。”看到老谢这样,我心里也不好受,只能鼓励他好好学炼大法。老谢非常诚恳的答应了,并一再感谢。

    隔了一个月左右,忽然一天收到老谢发来的微信,他激动不已的说:“给妹夫听师父讲法录音时,看到妹夫的眼睛微微动了几下。”我鼓励他坚持给妹夫听。他说在医院不方便,妹妹不让听,等妹妹上班走了他就给妹夫插上耳机听。老谢也特别有信心。

    又过了几个月元旦那天,老谢一大早就给我发了个问候,我才想起来好长时间没联系了,于是忙问妹夫的情况。不一会儿,老谢发来他妹夫坐在轮椅的视频,但目光还有些呆滞,老谢说妹夫醒了,能靠着轮椅坐一会了,意识还不怎么清楚。

    我感动的热泪盈眶,感恩师尊的慈悲伟大。自己十多年前年纪轻轻一身病痛,通过修炼大法不知不觉疾病消失无病一身轻。现在看到一个植物人听大法起死回生,我不知如何用语言来表达师尊对众生的慈悲救度。

    老谢也是发了好几个泪流满面、双手合十感谢师父的图片。老谢说:“妹妹现在也不反对给妹夫听师父讲法录音了,可就是不承认妹夫是听师父讲法录音才醒来的,说护工护理的好。”我说:“你没问她护工护理两年多了也没有醒来过,听了大法录音几个月就能坐在轮椅上了?”他说:“我妹是党员,她受毒害太深了,我还得慢慢和她说。我老父亲现在也开始看宝书了。”

    我再次感受到师尊救度世人的艰辛与伟大。中途给老谢发微信嘱咐他记着坚持给妹夫听录音,老谢回复说:会的,请放心。

    一晃又三个月过去了,就在我写稿的同时,我问老谢妹夫的情况,他发来了妹夫一个月前的视频,身上插了好多管子躺在床上。但视频看到他妹夫目光明显比第一次发过来的视频目光灵活多了。老谢说,妹夫之前不认识人,现在能认识他和妹妹和自己的儿子了。但妹夫因长期卧床引起气胸,在协和医院抢救,病情已经稳定。

    我让他坚持给妹夫听讲法录音,老谢说妹妹不让给妹夫听了,护工也不敢给他听。老谢自己倒是恢复的挺好。我鼓励他说:这得靠谢哥去给他听,其实植物人就是脑死亡,醒来的几率很少很少,这也是师父给了你妹夫第二次生命。老谢说想等缓些日子再给妹夫听,现在老父亲拿回去听了。

    这时我想起了师父的一句法:“吕洞宾有句话:宁可度动物也不度人。人实在太难悟,因为常人受常人社会所迷,在现实利益面前放不下那个心。”[1]唉!人啊被邪党毒害的好坏都分不清了,这么伟大的师尊,这么好的大法被抹黑,按真善忍做好人的大法弟子被迫害,活摘器官,有多少世人为了利益却和邪党站在了一起,不听真相,不分善恶,听信邪党谎言,歧视、迫害大法弟子,世人啊快醒醒吧,醒醒吧!只有了解大法真相,脱离邪党组织,人才有未来的希望啊!

    注:
    [1] 李洪志师父著作:《转法轮》


    师父救我 把我从地狱中除名

    文/湖南大法弟子

    【明慧网二零一九年二月二十四日】我曾经是一个虔诚的佛教徒,上早晚课不拿书,苦苦的修,可我什么也没得到,也不会修,还招来一身的病与一些邪恶生命。

    二零零五年我修炼法轮大法后,明白了家庭中所遇到的麻烦事都是自己的业力造成,生生世世轮回转生不知干了多少坏事。

    万古不遇的大法,我遇到真的是万幸。我还能做三件事,当正法时期大法弟子,这修炼机缘无比珍贵。我感谢师尊把我从地狱中拖回来,从地狱中除名。下面就讲两次车祸,都是师父救我获新生,师父还把我丈夫从死亡的边缘拉了回来。

    第一次是来取命的。

    第一次发生车祸是二零一零年四月的一天,我正骑着单车,一辆的士从大桥上过来,开的非常快,把我从这边马路撞到那边,撞飞起来了,我什么都不知道了。等我醒来,救护车已经到面前来了,抬我上车。司机车子的挡风玻璃被撞了个大洞,后来他告诉我车都报废了毁了。

    我被撞的头上象长了个小脑袋似的,撞了个大包。牙齿也被撞掉了一颗,右脚脚踝骨开裂了,两条裂缝有细毛线那么粗。当时又不省人事,司机都以为我死了,给他妻子打电话,说撞死人了。

    我被送到医院,同修来看我,我说不住医院,家人不理解。因我全身都是青紫的,头肿的好大,司机也不同意我出院。我心想,最多住三天就出院,果然三天后,吊针也打不進了。在医院的时候,司机妻子来伺候我几天,我坚持学法炼功,什么药都没吃,我告诉她我是炼法轮功的,我师父叫我们做好人。我帮他们三退保平安,告诉他们记住“法轮大法好”,他们俩口子都同意,说:我们遇到好人了。还说,以后要车子用就叫他的车就是。

    第二次是来讨债的。

    二零一八年二月十三日,也就是过大年前,我骑个单车买年货,被后面来的一辆车撞了。车轮从左脚压过再退回,单车也撞坏了。司机赶紧下车,他看我左脚走路一拐一拐的,他要我到医院去检查。

    我知道遇到问题找自己,说:你也不是有意来撞我的。司机说:那责任完全是我,你不到医院,我给你二百元钱,去买点药擦擦。还把钱放在我的年货袋子里,我退给了他,我没要。我告诉他我是炼法轮功的,我有师父管。他说:今天遇到好人了。我问他,你听说三退没有,是不是党员?他说,是党员。我劝他退党,我说:共产党干了不少坏事,退出才有好的未来。给你取个化名安康把它退了。你是个开车的要平安健康,记住:“法轮大法好,真善忍好!”

    司机连连说:好,好,平安健康,这是个好名字;我今天遇到好人了。出事的那天早上睡复觉,我做个梦,梦境中一个人收红包,正在登记名字,我丢了一个红包,我看他字写的草,我说你没记错吧?他说我对你这么了解,怎么会写错,我对你记的这么熟悉,怎么会写错你的名字。我一看没写错是我的名字。几个小时就出事了,梦中的那个人正好是跟这个司机一模一样。

    我去单车修理店那换单车零件,修单车的人马上放下手中的活,说帮我修。他说,这么好的人,今天遇到别的人没有二千元不得干,这么好的人。我说:司机他也不是有意来撞我的。我是炼法轮功的,我们的师父教我们做好人,我要讹他点钱,那医院住的了吗?我没有那样做。师父帮我善解怨缘。

    师父把我丈夫从死亡的边缘拉了回来。

    我的丈夫二零一五年三次住医院,最后一次下病危通知书,医院治不了了,尿的是血,全身大小便到处都是,要求我们转院。女儿签字了,与我商量:人也不行了。我说:只有一口气拉回家去,决定哪儿也不去了。女儿有一个空房,清理打扫了卫生,把丈夫拉回放在一个房间的地上,就住女儿那,我也住那儿去侍候他。同修们为了方便我,暂时学法小组也移到了我家。我们几个同修在一起学法切磋,形成一个能量场。

    我告诉丈夫,只有师父能救你,我要他念“法轮大法好,真善忍好”。我把师父讲法录音放在他耳边,让他听。本来很固执的丈夫,受共产党无神论毒害,不相信神。此时求生的欲望使他点点头。大约一个星期,躺着不能动,大小便失禁,生活不能自理的丈夫渐渐清醒了,能吃东西了,不久下地自己走动可下楼了,不久回到自己老家也能下地种菜了。


    我终于去掉了对父母的怨

    文/大陆大法弟子

    【明慧网二零一九年二月二十四日】今年元旦那天,我想应该到父母那里看看,可我是真的不愿去。多年来,我的心早已被父母伤透,当然父母也看不上我,我和他们有着厚厚的隔阂。小时我刚记事那会儿,耳朵听到的就是母亲生养我们这几个孩子无非就是为了防老之类的话,一个指望不上还可以指望别的孩子,那时我虽然小,可对这种话很反感。

    后来长大上班后,我和姐姐把挣来的钱全交给了母亲。几年后我和姐姐出嫁时,母亲一分钱没给。那时我和丈夫都没有工作,生活的困难可想而知。我怀孕期间,快生了,赶上冬天,住的是平房,非常冷,我去了母亲那儿,想住几天。母亲把我撵走,一天不让住,怕我把孩子生到娘家,对娘家不好。已经晚上七、八点钟了,母亲让哥哥送我回家,哥哥推着自行车,我拽着车子后座,怕摔倒,回到了冰冷的家。生孩子时难产,我剖腹,孩子出生后,大夫说缺氧,也住院。我只有几百元钱,婆婆拿了一千元再也没有钱了,医院说下午再不交钱,就让我出院。母亲在跟前,自始至终不说拿一分钱,最后出招,让我向哥哥借了一千五百元。丈夫挣不到钱,生活一直非常困难。

    一次,父亲大年初三破口大骂,说我平时不给他买好吃的。知道我要翻盖房子,提前就把话说绝:别想从他那借一分钱,也别想让他干一点活儿。我和姐姐都修炼大法,姐姐几次遭迫害,父母经常说一些不好的话。

    还有很多很多让我伤心的事,我对父母的怨恨有增无减,常常想我怎么摊上这样的父母呀!有一段时间,想起父母的所作所为我就泪流满面。所以我最不愿去的地方就是父母那儿,觉的到那儿也没什么嗑唠,经常还不欢而散。

    以前的一幕幕,父母的种种不好象放电影一样在我脑子里过,越想越迷糊,脑袋好象缺氧了似的。我躺在了床上,心想要不就不去父母那了,明天再说吧。后来我想还是学会儿法吧,就翻开师父在《二零一五年纽约法会讲法》,当看到:“修炼嘛,渐渐的知道了,哦,我得向内去找,得找自己的缺点、自己的错误,自己哪里做的不好,引起了这个矛盾。”[1]哎呀,向内找,我怎么忘了呢,既然是师父的弟子,当然就要听师父的话,找找自己哪有问题吧。

    当我静下心来,决定向内找时,一找,瞬间好象找到了对父母怨恨以至无法自拔的根源,那就是我从小就对父母对儿女的爱看的非常神圣,我把这种爱理想化,执著的认为父母对儿女的爱是人间的唯一无私、不求回报而又博大的爱。而且我的骨子里对父母的言传身教看的非常重,觉的父母的言行对孩子来讲,应该起到一种表率作用。然而当我的这种理想被父母的自私、狠心、冷漠渐渐的击碎时,我对父母绝望了,并产生强烈的怨恨。

    我怎么到现在还如此糊涂啊!其实天体中只有师父是最神圣和慈悲的,对弟子最好、不求回报的只有师父。而我却强烈的执著人间的父母对儿女的爱,宇宙成、住、坏、灭,末法时期一切都不行了,父母同样是这个最不好时期的众生,是我对他们希望的太高了,要求的太高了。

    而且有师父教我如何做更好的人就足矣了,我为什么还那么执著人间的父母应该如何给儿女做表率,我这不是本末倒置了吗?我这不是抓着人间的东西不放吗?而且还被这个假相迷得如此的深,长期放不下对父母的怨恨,长期无法从这个关难中走出来,这不是自己强烈的执著心造成的吗?

    当悟到这些后,我感觉一下子轻松了,脑袋也不迷糊了,对父母长期以来怨恨心一下子放下了,无论他们再有什么样的言行也无法动我的心了。

    我拎着礼品去了父母那里,父母表现的对我也很客气。与他们谈话时,感到气氛非常的祥和,真的很久很久都没有这样了。

    现在我深刻的明白了,对于修炼中长期过不去的关难,若眼睛一个劲的就是向外看,那永远也解决不了问题,只有象师父讲的:“真正修炼,就得向心去修,向内去修,向内去找,没有向外去找的。”[2]这样才能从根本上解决问题。

    注:
    [1] 李洪志师父经文:《二零一五年纽约法会讲法》
    [2] 李洪志师父著作:《转法轮》


    明白真相后老伴变了

    文/辽宁葫芦岛大法弟子心语

    【明慧网二零一九年二月二十四日】我老伴是一名邪党老党员,受党文化毒害较深,认准:谁给我开支我就说谁好。针对他这个顽固不化的死脑筋,我就举例子向他述说大法的美好。可他认为看不见的就不相信,他不信神,不信佛,不一定哪句话他不相信就跟你大吵大嚷。有时我也沉不住气,甩他一句:不可救要,转身走了不搭理他。

    后来我想,不搭理他也不对劲,修炼人遇见什么问题都要找自己,还是哪方面出了问题自己做的不好,他也是师尊要求要救度的世人啊,我怎样感化他呢?说高了怕他接受不了,说多了怕他烦,我采取把明慧和正见网发表的小故事抓住中心内容简明扼要讲给他听,这些小故事内容非常丰富。我看他表情很愿意听,每期都不落下,还有小册子的内容。以后每次讲故事前我都说一句:给你讲一个你从来都没有听说过的小故事。然后为了调动他的情绪,我就不说话了,他就催我,我看他精神集中起来了,就把原稿念给他听。一来二去我就给他讲正题了,每次都见缝插针跟他讲大法洪传世界一百多个国家和地区,讲大法弟子在法中受益的事,讲诚心善待大法一念得福报的理,讲大法弟子被恶党迫害家破人亡的事,并且把小册子登的照片拿给他看。后来讲恶党活摘大法弟子器官的事,他听后很震惊,承认恶党不好,坏透了。在他真正明白真相后用真名退出了恶党的各个组织。退休后自己把恶党组织材料销毁了。我真为他得救而高兴。

    自从老伴明白真相后,整个就象变了一个人似的。以前家里的事什么他都不管,什么也不干,对谁也不关心,事不关己,高高挂起,可是现在买菜、洗衣服、打扫卫生,什么活都抢着干。也知道惦记人了,我们现在家庭关系也很和谐,有事也能在一起商量解决。是大法师父的佛光照耀了我的家。我们都感到家人相互之间的责任,体验着家庭的幸福。

    母亲去世后,我有了时间,就想在家里也建个小资料点,开一朵小花,这也是我渴望很久的事情,便郑重和老伴提出了我要做资料的想法,出我所料,他一点都没反对就同意了。师尊看我有这种想法就派同修到家来帮助我,我们家的小花绽放了。耗材老伴帮助我去采购,一箱箱扛上五楼,只要是做证实大法的事他都特别乐意去做,而且不管哪位同修来我家他都提供最方便的环境,从不打扰,更不过问姓啥名谁,还能帮助同修干一些他力所能及的事情,同修都赞扬他。

    我在老家有三间平房一个大院,要是出租年租金最少三千到五千元,有需要的同修我让他们到那里去做资料,我和老伴把屋里院外打扫的干干净净,提前把电费存好,水、液化气、毛巾、卫生纸、香皂准备好,开门钥匙都交给同修,同修一干就是三年。老伴作为一个常人没有一句怨言,只字不提,就从这一点我发自内心的敬佩他。

    二零一八年决定在我家做台历,我们家大门紧挨着道,大门外只能停放一辆车,为了方便干活不受干扰,我设计把院墙扒开扩建很大,大门一开什么车都能進来。我和老伴商量,刚开始他不同意,认为工程量太大了,活太多了,都是体力活,自己年龄大实在干不动,找人干工钱贵,每人每天最低二百元,干完了也得万八千块钱,再说也不能开西大门哪,犯忌。我跟他说,开西大门不好我们不信,那是常人的说法,我们信师父,我们信大法,什么都不怕。我还给他讲了东西方大法弟子为了洪法救人所做的可歌可泣,不朽的事迹,我们所付出的一点点那是不可比的,我们付出是我们的荣耀,万年等一回,哪怕是一分钟用得着就值得去做。

    老伴真的听明白了做这件事情的重要性,就开始做准备工作。正赶上夏季三伏天,又热又潮又闷,他一趟一趟跑建材市场、钢材市场、五金市场,从备料到完工,提前半个月就绪,车能直接开進了院里,特别方便。老伴累瘦了十多斤,帮助接送做台历的大法弟子,他默默的做着支持大法弟子的事情。我心里非常非常感谢他。虽然他不修炼,但就从他对大法的态度,这个生命是最珍贵的!是最好的!我真诚的道一声:谢谢我的老伴!


    同修的修炼状态促我精進

    文/河北大法弟子

    【明慧网二零一九年二月二十四日】二零一八年,我第三次去孩子住的城市过年。二零一七年我去那里时讲真相,遇到了一位男同修,我告诉他我是从外地来的,很想参加当地的学法小组。同修很热情的接待了我,并把我领到一小区。我在外面等着,不一会,同修大哥领着一位大姐出来了,大姐红光满面,皮肤光滑,看上去没有皱纹,我心里说:“真年轻啊!”

    我们聊了几句,大姐让我上楼去她家,我说,我毕竟是从外地来的,还是过几天吧,你们再了解了解我,但大姐执意让我去她家。原来大姐也是从外地来给儿子看孩子的,我们还是老乡,真是谢谢师父给我们巧妙的安排。

    我和大姐说了我的情况。大姐说,过两天来,听信儿,就这样,我参加了当地的学法小组。

    二零一八年,我又来到了这个城市,结识了一位东北大姐,讲真相时,她语气平和,面带微笑,用词连贯,告诉世人,一定要记住“真、善、忍好,法轮大法好”,并说:“比你家房子都值钱。”而且,讲一个退一个,我在旁边,看到世人很认真的在听,那真是明明白白的做了三退。

    大姐住在儿子家,比较偏僻,我儿子住在闹市中心,大姐一出家门就有公交车,但为了在路上救人,她选择走四十分钟的路,到我这里,一见面,就告诉我三退的人名,因为大姐没有文化,不会写字,但《转法轮》和师父的经文都能通读。看着大姐给我的三退的名单,我心里从未有过的内疚、惭愧,我这个得法近十五年的弟子,总觉的自己做的比别人好,对自己讲真相、救人做的很满意,我地的同修也说我正念足等等,我有一种飘飘然的感觉,往同修中间一坐,有一种满足感,可和同修大姐比,差距太大了。

    因为大姐来的时间长,路熟悉,我们每天往返在大街小巷,也坐车去远处。大年二十八是人们贴对联的日子,我们進了小区,大姐说:给你们拜个早年,祝你们新年快乐,记住真善忍好,法轮大法好,灾难来了没你事,保平安,得福报。然后切入话题,人们都高高兴兴的退了邪党的组织,一再说谢谢,谢谢!大姐说:那你就谢谢我们师父吧。

    一早晨,在师父的加持下,我们劝退了二十三人。我让大姐坐车回家,她说:还是走吧,能救人。天气很冷,看着大姐远去的背影,我心里很感慨。

    初二,我在十字路口等大姐,看着由远而近顶着寒风的大姐,脸冻的红红的,一见面,就告诉我三退的名字。我们進了小区,看见一老太太在花亭那儿,我们过去给老太太拜了年,一问,老太太今年九十五岁,大姐告诉老太太记住:真善忍好,法轮大法好,老太太说大姐是佛,双手合十,一个劲的说:拜、拜……,我心里想,也许她明白的那一面知道。在路上我们看见一高个子男士,迎面急匆匆的走着,大姐说:过年好,兄弟!男士倒退几步说:好好。大姐就给他讲真相,他愉快的退了党、团、队组织。

    过年救人是最好的时机,同修们可千万不要错过。一声“过年好!”一下子就拉近了距离,人们更容易三退。

    一天早晨,我拉开窗帘,看见天上飘着雪花,心想,天气这么冷又下着雪,大姐可能不会来了,又想,大姐为了在路上能救人,宁可顶着寒风走四十分钟的路,出门也不坐公交车。我穿好衣服下了楼,顺着大姐来的方向走去,远处看见一个人影,是大姐,一定是。走近一看,果然是大姐。大姐说:顶头风,走不动。我赶紧挽起大姐胳膊。这天,在师父的加持下,我们劝退了几个人。

    大姐今年七十多岁,是一九九九年以前得法的大法弟子,用她自己的话说:这法轮大法太好了,我是学定了。


    心平气和讲真相 师尊慈悲看护

    文/中国大陆大法弟子

    【明慧网二零一九年二月二十四日】我是个地道的农村人,一九九九年开始修炼法轮大法,在十九年的修炼中亲身体会到大法的神奇与超常,时时刻刻感觉到都在师父的保护中。下面讲两件小事给大家。

    一天,我来到一户人家讲真相,家中有一位老人和两位姑娘,進门后姑娘就问我做什么的,我说我是修炼真善忍的好人,不是坏人,是修炼法轮功的。哪知道姑娘气势汹汹、面带恨意的说:快走快走,我们不听,并阻止正在倒茶给我的奶奶说:奶奶快做饭吧,我饿了。

    我站着没动,心想多好的姑娘啊,被谎言蒙骗了,我要救她们,心中发着正念。姑娘又说你怎么还不走啊?我的心很平静,于是心平气和的说:姑娘,你们是学生吧?是学生就有思考的能力和辨别能力。看你现在的状态,你对法轮功一无所知。对任何事情要有个了解才能明辨是非啊,法轮功轰动全世界这么一件大事你们却不知道、也不听,这对于你们来说是一个无法弥补的损失,今后你们想了解还不知道有没有这个机缘。

    我装着往外走时,姑娘却搬来一把椅子,叫我坐下,给她说说法轮功。我讲了法轮功祛病健身的奇效、四·二五逾万名法轮功学员和平上访,揭露“天安门自焚”骗局、苏家屯活摘事例、中共对大法弟子的酷刑迫害,讲了为什么要三退,等等。

    三个人静静的听着,我也算讲的比较全面,我把搭配好的真相资料给她看,姑娘说再给我一份吧,我带给派出所的所长看。我问她,你认识所长吗?她说她爸爸就在派出所工作。她还说要带给她的班主任看(她是某校高中生,不愿吐露校址)。姑娘还要带一份给她爸爸看,最后她说也给我同学一份吧,让同学带给她家里人看。我还帮她们办了三退,就这样我带着她们得救的喜悦离开了她家。

    一次外出讲真相,到了下午准备讲完下一个村庄再乘车回家,我向前走着,前面有一座桥,踏上桥面走到桥头,发现桥的另一端是一条公路。正要走上公路,从上面突然驶来一辆客车,并停在我的面前,只听见售票员说:快上车! 我内心犹豫了一下,心想不知是否师父的点化?就不由自主的上了车,下车后约走两里就到家了,哪知脚刚踏進家门,外面就下起了瓢泼大雨!我心里感谢师父的慈悲看护。

    在讲真相救人中,也处处体现了师父的安排,有不方便或不能去的地方车就停班,我们就改变方向,有时去一个地方,车未到目地地,就有熟人给买了车票,提前下车,太多太多的事例不能一一相告,我只觉的每时每刻都在师父的安排下、保护中。

    生逢大法洪传之时,成为正法时期的大法弟子、助师正法的大法徒,是多么荣耀和自豪啊!我们只有严格要求自己,每时每刻精進实修、正念正行,用慈悲和善念救度更多众生,才不负师父的慈悲苦度!才不负大法弟子的称号!


    放下私情 救人为重

    文/内蒙古大法弟子

    【明慧网二零一九年二月二十四日】二零一七年春天,我的女儿因家庭磨难没过去而突然失踪,走之前,她留下书信,看到句句绝情的话语,我很担心女儿的生死安危,在万般无奈下,我给前夫打了电话,可是前夫听到女儿失踪的消息却不怎么管,还怨我把女儿带坏了,一种从未有过的孤独感每天撕扯着我的心。

    前夫是在我一九九九年被非法劳教期间跟我离婚的,当时我被净身撵出家门,身无分文,那时都没象现在这样痛苦,因为觉得女儿是我唯一的亲人,唯一的依靠。

    我以泪洗面、痛不欲生,对女儿的婆家充满怨恨,觉得是他们把她逼到了这一步,而且绝情到女儿都失踪了,他们却象没事人一样,如果不修炼,我一定会和他们争执到底。那段时间,只要有一丝线索,我都想试一试,可几天下来,依旧音信皆无,同时又听到一些同修的负面消息,整个人一下就承受不住了,争斗心、怨恨心、委屈、痛苦通通向我涌来,只觉得万分消沉、痛不欲生。

    那一刻,我想到了师父,便哭着在师父法像前求问:我该怎么办?师父讲法的一段话打入我的脑海:“在人与人之间的勾心斗角中,你动不动心;在亲朋好友遭受痛苦时,你动不动心,你怎么样去衡量,作为一个炼功人就这么难!”[1]

    是啊,这不是情和依赖心吗?我是修炼人,有师父在,有大法在,什么也别想动了我的心,瞬间我的大脑一片空白,我知道是师父在加持我,那天起来炼功做到头顶抱轮时,竟然定了下来,感觉到从未有过的神圣,简直都不愿把手拿下来,原来我可是最怕抱轮的,我的眼泪又止不住的往下流。是师父看我这个不争气的弟子实在不悟又一次点化、加持我。

    我振作起来了,每天坚持讲真相救人,每每想到师父讲的关于救人不易的法,我的眼泪总是止不住,看到大街上来来往往的人,想到他们不明真相就不能得救,可生生世世又当过师父的亲人,就一天不讲都睡不着觉,只感觉到心痛。

    只要我出去讲真相,就会感到心里坦然、踏实,于是我不断的求师父加持我、多救人,我想起了在外地的姐姐,他们那里同修少,是空白区,所以决定去那里救人,于是带上横幅、不干贴,大包小包装满后就出发了。

    姐姐、姐夫因多次在大法中受益,因此都明白真相,他们担心我一个人,就和我做伴一起散发资料、挂横幅,就这样,利用四个晚上的时间,我们把那个地区发遍了真相资料。

    在这个过程中,因姐姐和姐夫不是修炼人,有时害怕也会埋怨我,有的地方不让我去,我就说服他们,我本着救人的心,专找显眼又不会引来常人不满的地方挂横幅。

    做完后,我准备回家,母亲哭着跟我说:“就你一个人孤苦伶仃的,要不就留在这边吧。”我说:“不想再给姐姐、姐夫添麻烦了,能自己扛下的就自己扛吧。”外甥听后,也流着眼泪说我太不容易了,并叫我保重。

    现在我已经从新振作起来,人心上来,我就背法,谁也动不了我,我就听从师父的安排,这个过程中去掉了我的亲情、怨恨、不平衡的心等等,我就用一颗纯净的心去救人。

    注:
    [1] 李洪志师父著作:《转法轮》


    观念转 丈夫变

    文/山东大法弟子

    【明慧网二零一九年二月二十四日】我时好时坏的和丈夫过了四、五年的关,现在想想都是自己的人心招来的,一直有看不上他的心,总想离婚。

    我越恨他,他越不正经,得过且过的样子,我很苦恼。我没站在法上,而是用了人心,天天和他打,越打,他毛病越多。后来,吃饭也不回家了,躲着我,天天在外赌、喝酒、找女人,再后来,欠了十多万元的债,上门要债的人越来越多,到最后,他欠了多少,我也不知道。

    后来,我干脆不管他了,想怎样就怎样。他回家后,我们一句话都不说,不说还好点,一说就抬杠。他看我不顺眼,我看他不顺眼,有时学法都学不進去,被干扰的很厉害。

    为了不让他出去赌,我们不知吵过多少架。欠了那么多的钱不还,一有钱就出去赌,我不去学法,在家看着他,等他睡觉后,我才出去学法。有时我一离开,他穿上衣服就走了。那几年,我心里被他搅得七上八下的,学法的时候也在想,他会不会出去赌,学完法回来,只要看他在家,就放心了。有时不在家,我就气得不行,拿起电话就找他,说话很不善(自己也想把心放下,说话语气好点),带着强烈的怨恨心、妒嫉心,说出的话让人受不了。后来,他就不接我电话了,我更气的不行,那时也忘记自己是炼功人了。我也知道得忍,可就是忍不住。这个关一拖就是四、五年。

    后来,通过学法,和同修交流,我认识到问题的严重性,修炼人遇事必须向内找。这一找,发现自己有很强的争斗心、怨恨心、自私自我的心。这么多年我怎么就没有为他考虑一点。其实想想迫害初期,为证实法,我上北京上访,他给我钱让我去,后来我被抓,他又给我把大法书都保护起来,凭这一点,我也应该好好感谢他,心平气和的和他讲道理。“我经常讲一个人要是完全为了别人好,而没有一丝自己的目地和认识,讲出的话会使对方落泪的。”[1]“工作中的语气、善心,加上道理能改变人心”[1]。我带着强大的怨恨、自我的人心怎么能改变呢?

    当我静下心来再找自己时,我突然觉得他这几年过得真不容易,我一次次的被抓,他都跟着我提心吊胆的。有一次,我和同修出去喷写“法轮大法好”标语,一直喷到凌晨两点才回来,走到家门口时,发现灯还亮着,我知道他又为我担心了,他看我回来了,狠狠瞪了我一眼,一句话没说躺下了,毕竟那时邪恶太猖狂。

    那几年,他赚钱没赚到手,反而欠了那么多的债,再加上我不理解他,和他吵架,他能不苦恼吗?以至于后来做了那么多的傻事。我毕竟是个炼功人,不能再用常人的理去争谁对谁错,我要按修炼人的标准做。关心他、理解他、善待他,不能恨他,当我的观念一转时,我真觉得浑身轻松,真象卸下了一个大包袱似的。他人不坏,可能就是为我提高的,要不我的人心怎么去呢?后来我这儿理顺了,他完全变好了,象变了一个人。有一次,他喝了点酒,借着酒劲他哭了,对我说:这几年,自己怎么这么混账,对不起你,以后还你。我也对他说:不能全怪你,我也有错,对你照顾不周,过去的就让它过去吧,今后你改了就好,好好过就行。我师父慈悲,让我们救人,家里人也得救啊,只要你变好,比什么都好,我不计较。我也对不起你,光想出去做事,冷落了你,今后我会好好待你,再也不会象以前那样了。其实你很善良,你以前做得很好,在迫害最严重时期,你也没有助纣为虐,仍然支持我,同修来我家,你都热情招待,还给我保护过大法书,同修对你评价很高的。让我们互相理解吧。就这样,和丈夫的关在摔摔打打中总算过去了。

    其实在真正的过关当中,就象师父讲的:“其实就是帮助你消业,可是他自己不知道。他可不只是表面上跟你干,心里对你还挺好,不是这样的,真的是发自内心的生气。因为业力落到谁那儿谁难受,保证是这样的。”[2]

    注:
    [1] 李洪志师父著作:《精進要旨》〈清醒〉
    [2] 李洪志师父著作:《转法轮》

    <英文版: http://en.minghui.org/html/articles/2019/3/20/176209.html>


    二零一九年二月二十四日大陆综合消息

    【明慧网二零一九年二月二十四日】

  • 上海宝山区法轮功学员王可慧被非法监视、跟踪

  • 内蒙古赤峰元宝山镇任素香被非法构陷到法院

  • 北京昌平区法轮功学员王洪斌将刑满出狱

  • 德惠市大房身镇任秀范、黄树慧被非法抄家 被迫不能回家

  • 山东省日照市赵秋武、王洪武已被构陷至五连县法院

  • 澳洲法轮功学员尹森回国探亲 被深圳海关非法抓捕

  • 河北省涿州市松林店镇韩村法轮功学员路进友近况

  • 河南南阳法轮功学员马玉中遭迫害近况

  • 湖北荆门市法轮功学员孟祥龙被从监狱接走 现下落不明

  • 贵州省黔南州都匀市蒙向珍、罗黄吉、黄玉清被绑架

  • 大连地区正月里130余人被非法关押补充

  • 黑龙江省鹤岗市多名法轮功学员被警察绑架、骚扰

  • 上海宝山区法轮功学员王可慧被非法监视、跟踪

    2019年2月3日,宝山区高镜镇街道综治办李姓工作人员和一着制服的女警上门,据说了解一些情况,王可慧和丈夫不在家,去拜年了。

    2月4日,楼下就有人非法监视,跟踪了。24小时轮班在楼下,大概有5~6人轮班,还告诉王可慧你正常买菜可以,一直到11日才解除。

    2月23日上午,发现又有2人非法监视和跟踪,下午王可慧出去购物,2人紧随其后,据说是高镜镇派出所和街道综治办所为,24小时监控。


    内蒙古赤峰元宝山镇任素香被非法构陷到法院

    2018年12月18日上午,元宝山镇南庙子村四组法轮功学员任素香被绑架,现已被构陷到元宝山区法院。

    12月18日上午,多名警察非法闯入任素香的家,抢走打印机、电脑、现金等。家人没有收到任何通知,在这没有任何法律程序的情况下,任素香被构陷到法院。

    主审法官是 陈玉明 13604762512
    元宝山区人民法院

    院领导
    才英杰 3511118 13500661999
    吕悦华 3522700 13644866066
    胡炳杰 3510241 13848886615
    孙振峰 3512183 13947608959
    于海军 3510794 13947696108
    姜力 3518339 18847618077
    姜智敏 3523332 15104809966

    立案庭
    孙兆华 3518203 18747139088
    姜向东 3518227 13500666965
    王奉忠 3517269 15049921913
    刘波 3510752 15847332004
    侯志娇 3510752 15048698863

    刑事庭
    李丽 3512683 15104807778
    李竹丽 3512683 15144717416
    刘佳敏 3512683 15849982859
    董利贺 3517208 13604762908
    陈玉明 3517208 13604762512

    民一庭
    高贵君 3517528 13948168022
    郭颖 3517528 15849982962
    杨评 3517532 15934969973
    孙志玲 3517532 18248036308
    李冰 3517532 18748029831

    民二庭
    周淑云 3517357 13847639623
    周振坤 3517392 13015187711
    徐少华 3517392 18748029802

    民三庭
    杨书慧 3511476 13904768459
    王爱凤 3511476 15049969919
    祝亚红 3517539 15849686117
    哈斯朝鲁 3517539 15047606818

    行政庭
    杨静 3517282 13664767270
    刘晓文 3517282 13904767184
    高兴强 3517707 15334762004

    审监庭
    赵明林 3523412 13604762118
    赵晓兰 3523412 13948968272
    席川金 3523412 15904762608

    速裁庭
    钱风 3510125 13654863595
    李东军 3517703 15149137779
    刘会生 3517703 13904764709
    纪玲玲 3517703 18748037840

    审管办
    侯志民 3518525 13947682296
    宋炎冬 3518525 13514864734

    办公室
    张利华 3510914 15049967878
    王自然 3518236 13848881111
    马健 3510914 15004889699
    刘子东 3010914 13789732678
    王海成 3518236 15947566643
    张忠双 3518236 13789690971
    王海松 3518236 13789668090

    研究室
    谭国森 3517364 15904763800

    政工科
    宫兰兰 3517701 15847329363

    监察科
    韩心刚 3517753 13704763611
    邵明海 3517753 13604760219

    执行局
    孙莉 3517926 13514862299
    李汉龙 3518532 13847688511
    宋占武 3517860 13604762839
    谭庆礼 3517957 13947682295
    王鑫 3517957 15847055310
    吕宏伟 3517907 13848879873
    邢云川 3517865 13947680180

    法警队
    孟祥玉 3518203 13904762119
    张立国 3517131 13947682866
    段振伟 3517131 15904860066
    于文庆 3517131 15904869897
    冯艳鹏 3517131 15848899666
    马文彬 3517131 15104807210
    王猛 3517131 18847622341
    王晓东 3517131 13947601623
    李毅峰 3517131 18648107071
    张立国 3517131 15947566923


    北京昌平区法轮功学员王洪斌将刑满出狱

    北京市昌平法轮功学员王洪斌被非法判刑一年,现被非法关押在北京大兴区新安教育矫治所,二零一九年三月十二日冤狱期满。


    德惠市大房身镇任秀范、黄树慧被非法抄家 被迫不能回家

    吉林省德惠市大房身镇派出所所长王然带领便衣警察5人,于2019年2月22日下午1点左右,到杨木林子大队六社法轮功学员任秀范、黄树慧家中,从任秀范家中抄走师父照片、电脑一台、法轮功书数十本、真相资料条幅等。从黄树慧家抄走大法书、真相资料。

    当时任秀范、黄树慧都不在家中,没被绑架,现在无法回家。所长对家属说,回来后到派出所待几天,就放了,如果不去,继续抓。警察强行带走任秀范丈夫到派出所,家人去要,晚上放回。详情待查。


    山东省日照市赵秋武、王洪武已被构陷至五连县法院

    2019年1月14日,山东省日照市五莲县公安局国保警察将五莲县法轮功学员赵秋武、王洪武构陷到五莲县检察院。2月22日,五莲检察院将该构陷案送至五莲法院。


    澳洲法轮功学员尹森回国探亲 被深圳海关非法抓捕

    尹森,原居住在辽宁省大连市沙河口区锦绣小区。之前,曾经被非法抓捕,办了保外就医。大约3年前来到澳洲。

    今年2月4日尹森回国探亲,在深圳海关被非法扣押,现在被非法关押大连市看守所。详情待查。

    辽宁省大连锦绣派出所
    大连市沙河口区锦绣派出所:
    地址:大连市沙河口区锦石路16号,邮编116033
    总机:0411-86825299,86825399
    分机:8000、8001、8007、8009、8010、8011、8012、8013、8014、8016、8017、8018。
    所长孙长缨 13194111180
    教导员李新生 13322248428
    副所长佟岩峰 15698895168
    副所长田伟 15698899871
    副所长孙玉江 13050582111
    刑警中队长周玮玮15140433376
    警察:
    田国余 13998504252
    姜银峰 13074124751
    白松山 13125451217
    梁建雄 13332271522
    李友增 13940927509
    张福龙 13942020797
    王中利 13889697597
    方合兵 15524617311
    谭玉好 13940893201
    孙占方 18041116607
    郭永军 18641152657
    李福军 13889544890
    曹海涛 15524591766
    李源富 15566908156
    孙家全 13322250789
    孙贤高 13394111988
    石义奎 15604286867
    辛春艳 13604096357
    于守波 13125472156
    陈国超 15524601163
    安英爱 15698895456
    张宏铭 15842694942
    郭浩宇 18940871739
    武文海 18141161038
    宋佳璠 18841157779
    孙林13940984242
    苗慧18242039876
    何斐13889657309
    张斌13664210066
    白芸13050566687
    李理15502627529
    大连市公安局沙河口分局:
    地址:大连市沙河口区西南路333号,邮编116021
    法制科:0411-39771326
    值班室:0411-39771170 39771157
    办公室:0411-39771326
    局长胡冰0411-39771001
    政委徐宝贵0411-39771002
    1. 大连市姚家看守所:
    地址:大连市甘井子区姚家街270号,邮编116031
    总机0411-86871181
    值班室0411-83792702
    传真0411-86871844
    所长王洪涛
    其它电话:0411-86886166、86887811、86887816、86887815、86887813、86887812、86870718、86870728、86870857、86870508、86871988、83792725
    大连市沙河口区检察院:
    电话:0411-83891111、0411-83891001
    检察长路林勋 0411-89891133
    检察长郭丽华 0411-84587999
    副检察长余明勇 0411-84388777
    副检察长苏斌 0411-84388222
    公诉人汪辉 0411-83891055


    河北省涿州市松林店镇韩村法轮功学员路进友近况

    河北省涿州市松林店镇韩村法轮功学员路进友,2019年2月19日,被涿州市国保大队梁玉峰等3人绑架后,当日回家。随后,又被非法传唤1次,称在7日内非法开庭。

    以下是相关法院及检察院人员电话:
    郑伟:18931215297 13831249968
    彭松青:13703360316 17731205177
    赵赛:15613275960 17731205126
    康雅丽:13932206942
    张警官:15830229786 17731205139
    朱云峰:15333264226 13472224508
    徐志运:18630265501
    郭来运:18931215297 13131299294
    杨爱静:18811180810


    河南南阳法轮功学员马玉中遭迫害近况

    2018年6月8日,河南省南阳市官庄油田法轮功学员马玉中(女,五十多岁,油田职工)讲法轮功真相时,被人构陷举报到油田官庄工区派出所,被此派出所绑架。现仍在南阳市看守所被非法关押,被构陷到法院。

    2019年1月23日,马玉中被带到南阳市唐河县法院非法开庭,当庭审判长是孟蕴(女),马玉中家人坚持在当地请了一位律师。马玉中在法庭上多次申明修炼法轮功做好人没有错。据反映,审判长孟蕴还不明真相,现在还没判决结果。

    审判长孟蕴电话:18898156336


    湖北荆门市法轮功学员孟祥龙被从监狱接走 现下落不明

    被非法关押在湖北沙洋范家台监狱的荆门市法轮功学员孟祥龙,于二零一九年二月十六日(正月十二)被荆门市“610”从监狱接走后,被非法限制在荆门市某家宾馆,请有条件的人士核实详情,将信息发往明慧网。

    请知道此消息的人士帮助发出强大正念,解体邪党继续迫害的阴谋,让孟祥龙平安回家。


    贵州省黔南州都匀市蒙向珍、罗黄吉、黄玉清被绑架

    1.蒙向珍,女,40岁,都匀市邦水镇人,发真相资料时,被不明真相的人举报。2018年12月30日被都匀市绿茵派出所绑架,现被非法关押在都匀女子看守所,目前构陷案是都匀市国保大队在负责办理。

    2.罗黄吉,女,72岁,都匀市邦水镇人,与蒙向珍一同被绑架,现被非法关押在都匀女子看守所。

    3.黄玉清,女,60岁,都匀市人,2018年11月30日在都匀东站高铁进站口被绑架,现被非法关押在都匀女子看守所,目前案子已到都匀市检察院。

    迫害责任人:段启禄
    检察院办案人员:秋贵祥


    大连地区正月里130余人被非法关押补充

    截至2月底,大连一地仍有有134位法轮功学员被非法关押(2月8日、9日有两位法轮功学员刑满出狱)。

    辽宁省女子监狱被非法关押的大连法轮功学员有70人:张晓丽、王语丝、马冬梅、刘荣华、徐美华、陈亚洲、邹辉、李道蓉、宗丽荣、王凤君、高福玲、许秀云、曲桂贤、刘玉美、丛迎月、刘静玉、庞家娥、肖春玲、张艳芳、李彩文、袁晓曼、宋世娟、迟连珠、王卫真、阎淑贞、马雪青、李锦玲、王新莲、郝春英、张淑旭、刘坤、宋莲英、谷丽、秦淑兰、奚延芝、于连慧、李玉梅、王兴波、张霞、徐桂兰、方彩霞、王桂复、袁爱华、刘兴革、张静、周桂苓、王春静、刘娟、王淑芳、文英、李玉花、刘新颖、王秀香、王红玉、盛杰、仲淑娟、张桂敏、陶玉珍、鲍艳、刘艳萍、单秋菊、方芳、林景萍、时宁瑶、贾秀春、战淑华、曹娥、来桂芳、周海燕、胡志琴。

    沈阳第一监狱被非法关押的大连法轮功学员有6人:马瑞田、曲滨、王恩平、王闯、孙俊、姜世林。

    沈阳市东陵监狱被非法关押的大连市法轮功学员有8人:夏元新、孙广慧、刘昌海、曲连喜、王有开、孔庆春、郭书春、张树德。

    本溪溪湖监狱被非法关押的大连市法轮功学员有2人:潘洪亭、阎善卫。

    大连市监狱被非法关押的大连市法轮功学员有3人:刘亚洲、郑德财、刘仁秋。

    另有6人关押监狱不详,他们是王庄、王尚杰、张仁光、韩建海、郝福奎、刘希永。还有刘霞被非法关押在唐山。

    大连市各看守所被非法关押的法轮功学员有38人:韩雪松、金翠香、韩美玲、周兴、李天学、王丽果、张三曼、谭春荣、谷秀华、孙宝英、刘井龙、李钢、王日清、于春香、王素棉、周鸿旭、王月红、刘连慧、刘枭雄、王永生、陈利荣、陈桂荣、廖杰、张亚丽、朱伟君、王钊、杨丽华、刘清涛、许丽、宋学存、宋淑春、徐彦霞、蒋连香、程玉荣、陈跃荣、王俊英、张克鑫、孙才章。


    黑龙江省鹤岗市多名法轮功学员被警察绑架、骚扰

    2019年2月13日,黑龙江省鹤岗市法轮功学员彭岩峰被警察绑架,2月14日,李向东、宫桂花被红旗乡派出所警察绑架,被警察绑架的还有王立国、宫桂芝。

    鹤岗市六号派出所的警察到法轮功学员庞忠艳、王玉凤、苗同雪、刘凤芹、张凤玲、李春艳等的家中骚扰。麓林山派出所的警察到于春梅家中骚扰。

    <英文版: http://en.minghui.org/html/articles/2019/3/9/176094.html>


    30人声明从新开始修炼

    【明慧网2019年2月24日】编者注:“严正声明”是在压力下曾给邪恶写过“不炼功保证”的法轮功学员宣布重返修炼的声明。为保持严肃性,声明必须用真名实姓发表。如发现使用化名的“严正声明”,将予以删除。在明慧网上发表严正声明,必须写清(1)自己写给邪恶的“保证书”作废;(2)郑重宣布从新修炼、弥补损失。

    * * * * *

    声明人:王桂兰 王丽云 李建文 曲军 乔珍娥 王秀环 王幼萍 石淑杰 黄凤玲 蒋天兰 李金双 王文田 邹双芬 钱峰 李素芬 程丽云 赵洪荣 段淑霞 徐秀辉 方桂珍 朱洪桂 王玉香 张桂琴 张倩 关秀琴 邵玉梅 袁玉芹 孙耀亭 李宽


    明慧地方期刊(甘肃省、北京市、东营市、杭州市、荆州市、临沂市、孝感市、咸宁市、淄博市、郴州市、邯郸市、聊城市)

    【明慧网二零一九年二月二十四日】

    明慧地方期刊(甘肃省、北京市、东营市、杭州市、荆州市、临沂市、孝感市、咸宁市、淄博市、郴州市、邯郸市、聊城市)


    明慧期刊:天赐洪福(第七期)手机epub版

    【明慧网二零一九年二月二十四日】

    明慧期刊:天赐洪福(第七期)手机epub版


    手机图片版:绝处逢生(第30期)

    【明慧网二零一九年二月二十四日】

    手机图片版:绝处逢生(第30期)


    手机图片版:明慧周报(第七三三期)

    【明慧网二零一九年二月二十四日】

    手机图片版:明慧周报(第七三三期)


    明慧广播:海外消息(2019.2.23)

    【明慧网二零一九年二月二十四日】

    明慧广播:海外消息(2019.2.23)


    明慧广播:大陆消息(2019.2.23)

    【明慧网二零一九年二月二十四日】

    明慧广播:大陆消息(2019.2.23)


    明慧广播:神传医道与扁鹊换心

    【明慧网二零一九年二月二十四日】

    明慧广播:神传医道与扁鹊换心


    订阅请发空邮到:subscribe@minghui.org
    取消订阅请发空邮到:unsubscribe@minghui.org
    联系编辑或投稿请发电邮到:article@minghui.org 或 tougao@minghui.ca
    联系技术部请发电邮到:webteam@minghui.org